Skip to main content

My account

Boston Scientific accounts are for healthcare professionals only.

Create an account to access online training and education on EDUCARE, manage your customer profile, and connect with customer support and service teams.

My Boston Scientific account

Access your online applications and manage your customer profile.

Quick Links

Call customer care

SpaceOAR Hydrogel animation.

SpaceOAR™ Hydrogel

SpaceOAR Vue™ Hydrogel

Absorbable radiopaque perirectal hydrogel spacer 

Visibly different

SpaceOAR Vue Hydrogel is the next-generation hydrogel spacer that offers enhanced visibility via CT scan when compared to non-radiopaque spacers. 

Interested in streamlining your prostate cancer treatment planning?

Connect with our team to learn more about SpaceOAR Vue Hydrogel, schedule a demo, or get answers to your procedure-related questions.

The benefits of SpaceOAR Vue Hydrogel may include:

MRI icon.

Optimize dosing plan

With SpaceOAR Vue Hydrogel, physicians may be able to contour the prostate and rectum with a greater degree of confidence without the need for an additional MRI. This may also reduce any contouring inaccuracies, potentially leading to more accurate treatment plan creations.¹

Workflow icon.

Streamline workflow

Treatment planning can be done using CT only, reducing the need to acquire, reference, and fuse MR and CT images during plan creation. Persistent visibility of SpaceOAR Vue on a kV cone-beam CT is designed to aid in visualization of the target region enabling appropriate patient positioning for radiation treatment.¹

Patients icon.

Benefits of radiopacity

The radiopacity may provide a suitable imaging option to MRI for patients with implanted metallic devices.¹


SpaceOAR Vue Hydrogel in different image modalities

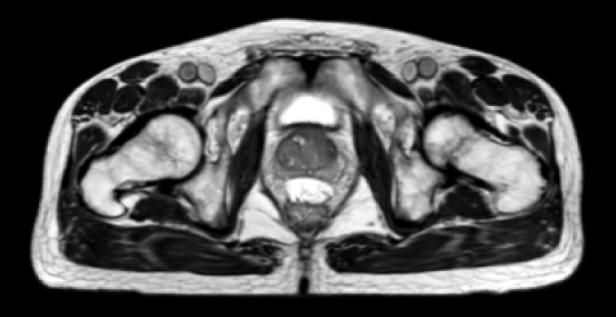
T2-weighted Magnetic Resonance images.

T2-weighted Magnetic Resonance images*

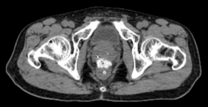
Computed Tomography images.

Computed Tomography images*

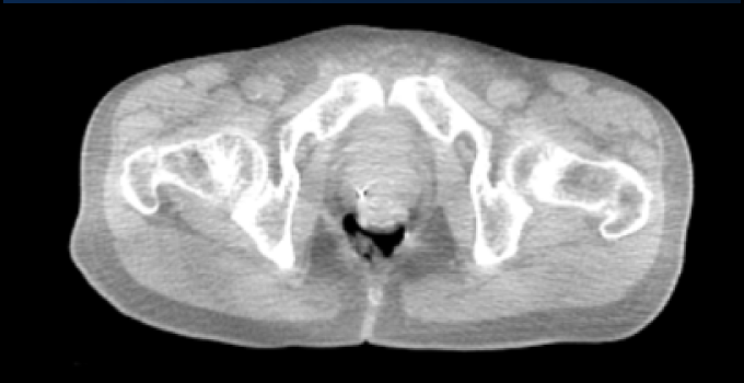
kV Cone-beam CT image (first fraction).

kV Cone-beam Computed Tomography image (first fraction)*

kV Cone-beam Computed Tomography image (last fraction).

kV Cone-beam Computed Tomography image (last fraction)*

*Jeff Michalski, M.D. [2020]. Permission granted by Washington University Image. 


How SpaceOAR Vue can affect workflow

Ed Soffen, M.D., a Radiation Oncologist, talks about the potential benefits of SpaceOAR Vue Hydrogel with easier contouring, better visibility, and time-saving efficiency.

Reaching patients who cannot undergo MRI

Radiation Oncologist, Daniel Petereit, M.D., discusses how SpaceOAR Vue Hydrogel is designed to be highly visible in a CT scan and may be beneficial for patients who cannot undergo an MRI.

Managing patient alignment

Alaina Rizzo, a Radiation Therapist at Princeton Radiation Oncology, talks about how SpaceOAR Vue Hydrogel can help visualize the hydrogel under cone-beam CT to better manage patient alignment.

Meeting dose volume constraints

Joseph Hanley, Ph.D., Director of Medical Physics at Princeton Radiation Oncology, discusses how SpaceOAR Vue Hydrogel had a positive impact on meeting dose-volume constraints of treatment plans.

Get SpaceOAR Vue Hydrogel

Become a certified applier

Sign up

Get exclusive updates and clinical data.


Reference

  1. Data on file with Boston Scientific.

Caution: U.S. Federal law restricts this device to sale by or on the order of a physician.

All images are the property of Boston Scientific or their respective owners.

All trademarks are the property of their respective owners.