Skip to main content

My account

Boston Scientific accounts are for healthcare professionals only.

Create an account to access online training and education on EDUCARE, manage your customer profile, and connect with customer support and service teams.

My Boston Scientific account

Access your online applications and manage your customer profile.

Quick Links

Call customer care

SpaceOAR Hydrogel animation.

SpaceOAR™ Hydrogel

Product & Procedure

How SpaceOAR Hydrogel works

SpaceOAR Hydrogel is a PEG-based hydrogel designed to help reduce the radiation dose delivered to the rectum during prostate cancer radiation treatments.

When treating prostate cancer patients with radiation therapy, the goal is to destroy the cancer cells while avoiding damage to the surrounding healthy tissue.

WithoutSpaceOAR image.

Anatomy without SpaceOAR Hydrogel

Due to the close proximity between the rectum and the prostate, radiation therapy can unintentionally cause rectal toxicity.

With SpaceOAR.

Anatomy with SpaceOAR Hydrogel

The hydrogel spacer is designed to temporarily position the anterior rectal wall away from the prostate.

With hydrogel radiation.

SpaceOAR Hydrogel with radiation therapy

SpaceOAR Hydrogel is shown to help reduce the radiation dose planned to be delivered to the rectum during prostate cancer radiotherapy.1


The chemistry of SpaceOAR Hydrogel

SpaceOAR VUE chemistry liquid image.

Liquid

Hydrogel precursors injected through 18G needle

SpaceOAR VUE chemistry solid image.

Solid

Polymerizes to form a semi-solid gel

Hydrogel is designed to maintain prostate-rectum separation during radiotherapy

SpaceOAR VUE chemistry absorbed image.

Liquid

Breaks down through hydrolysis

Hydrolysis liquifies gel which is designed to be absorbed in about 6 months


Why hydrodissection is imperative in perirectal spacing​

Hydrodissection is a confirmation step of a perirectal spacing procedure. It confirms proper needle positioning and allows visualization of where the spacer will be injected.

Procedural Video

Watch a SpaceOAR Vue™ full procedure  under the local anesthesia technique with urologist Dr. Dean Laganosky.


William Johnson, MD, MPH

“I would never do this procedure without hydrodissection. I think it is the safety stop and measure for a good gel placement. It ensures that the needle tip is right where you want it in the sweet spot of the perirectal fat.”

William Johnson, M.D., M.P.H.
Urologist, Core Urology
Exeter, New Hampshire

Sean Collins, MD, PhD

“Hydrodissection is actually the most important part of the procedure. It makes me have confidence that we’re injecting it into the correct space and that we’re not injecting the gel into the rectal wall or the bladder.”

Sean Collins, M.D., Ph.D.
Radiation Oncologist, MedStar
Georgetown University Hospital
Washington, DC

Doctors are paid consultants of Boston Scientific.


Perirectal implantation

Peri-rectal implantation diagram.
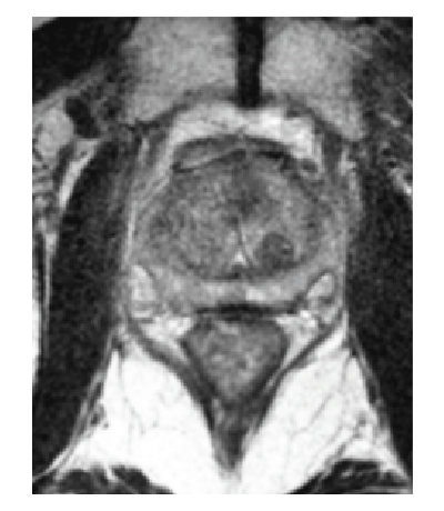
SpaceOAR pre-implant space scan.

Pre-implant space

SpaceOAR 3-month persistence scan.

3-month persistence

SpaceOAR 12-month absorption scan.

12-month absorption

 T2-weighted MRI of a SpaceOAR Hydrogel patient1

Image from Mariados N, Sylvester J, Shah D, et al. Hydrogel spacer prospective multicenter randomized controlled pivotal trial: dosimetric and clinical effects of perirectal spacer application in men undergoing prostate image guided intensity modulated radiation therapy. Int J Radiat Oncol Biol Phys. 2015;92:971–977.


See how SpaceOAR Hydrogel is placed


Get SpaceOAR Hydrogel

Become a certified applier

Sign up

Get exclusive updates and clinical data.


References

  1. Mariados N, Sylvester J, Shah D, et al. Hydrogel spacer prospective multicenter randomized controlled pivotal trial: dosimetric and clinical effects of perirectal spacer application in men undergoing prostate image guided intensity modulated radiation therapy. Int J Radiat Oncol Biol Phys. 2015;92:971–977.

Caution: U.S. Federal law restricts this device to sale by or on the order of a physician.

CAUTION: The law restricts these devices to sale by or on the order of a physician. Indications, contraindications, warnings, and instructions for use can be found in the product labelling supplied with each device or at www.IFU-BSCI.com. Products shown for INFORMATION purposes only and may not be approved or for sale in certain countries. This material not intended for use in France.

All images are the property of Boston Scientific. All trademarks are the property of their respective owners.