Skip to main content

My account

Boston Scientific accounts are for healthcare professionals only.

Create an account to access online training and education on EDUCARE, manage your customer profile, and connect with customer support and service teams.

My Boston Scientific account

Access your online applications and manage your customer profile.

Quick Links

Contact a representative Online education and training Order products online Reimbursement resources Return a product Customer support

Call customer care

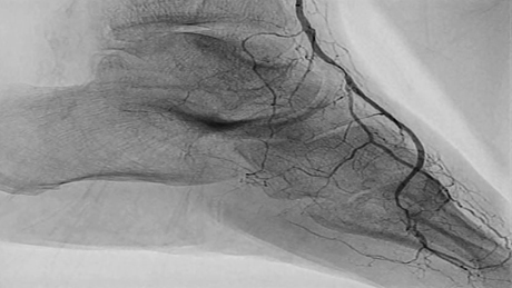
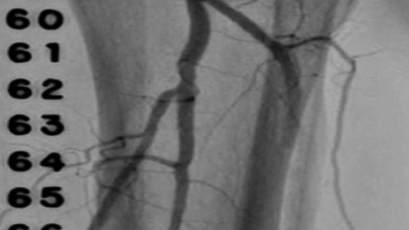
Peripheral Rotablator™

Rotational Atherectomy System

Results from case studies are not necessarily predictive of results in other cases.  Results in other cases may vary.

Case Studies

Top