Skip to main content

My account

Boston Scientific accounts are for healthcare professionals only.

Create an account to access online training and education on EDUCARE, manage your customer profile, and connect with customer support and service teams.

My Boston Scientific account

Access your online applications and manage your customer profile.

Quick Links

Call customer care

Surgeon wearing glasses and mask with scrubs on.

Obsidio™ Conformable Embolic

Case study

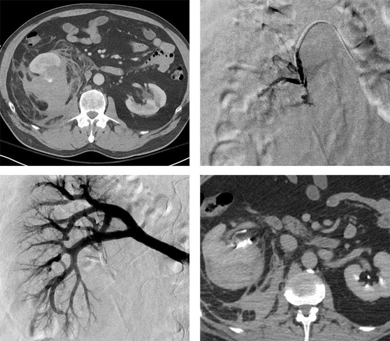
Renal pseudoneurysm embolization

Courtesy of Dr. Gary Siskin I Albany Medical Center

Presentation

60-year-old male patient who developed right flank pain and hematuria after falling. He became hypotensive and had a syncopal event. CT showed a large right retroperitoneal hematoma and a grade III renal laceration with evidence for active extravasation. He was transferred to our hospital where he became hypotensive with SBP in the 60s. He was transfused with 2u PRBC and referred for angiography and embolization.

Intervention used

Arterial access was gained via the right common femoral artery. A Sos-2 catheter was used to catheterize the right renal artery. Selective angiography demonstrated a pseudoaneurysm arising from the lower pole branch of the main renal artery. A Renegade™ HI-FLO™ Microcatheter was advanced into this vessel, and 0.2 mL of Obsidio Embolic was used for embolization. Follow-up angiography demonstrated successful occlusion of this vessel.

Outcome

He had no additional signs of ongoing bleeding with a stable hgb/hct after embolization. No additional transfusions were required. Follow-up CT demonstrated no further contrast extravasation and some retraction of the perirenal and retroperitoneal hematoma. He was discharged home 5 days after embolization.

Results from case studies are not necessarily predictive of results in other cases. Results in other cases may vary.