Skip to main content

My account

Boston Scientific accounts are for healthcare professionals only.

Create an account to access online training and education on EDUCARE, manage your customer profile, and connect with customer support and service teams.

My Boston Scientific account

Access your online applications and manage your customer profile.

Quick Links

Call customer care

Surgeon wearing glasses and mask with scrubs on.

Obsidio™ Conformable Embolic

Case study

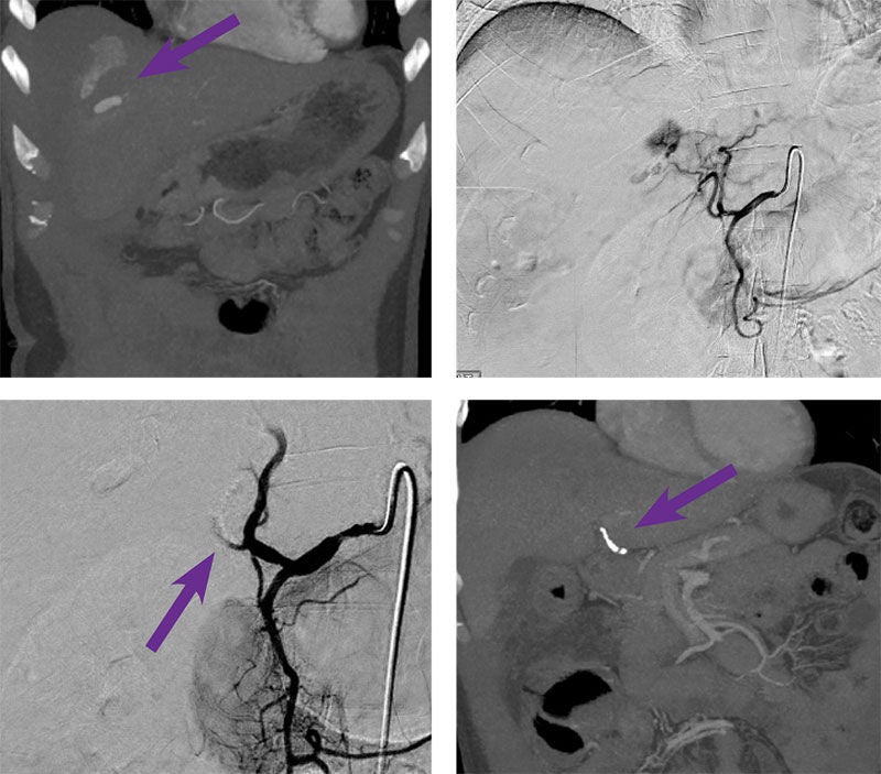
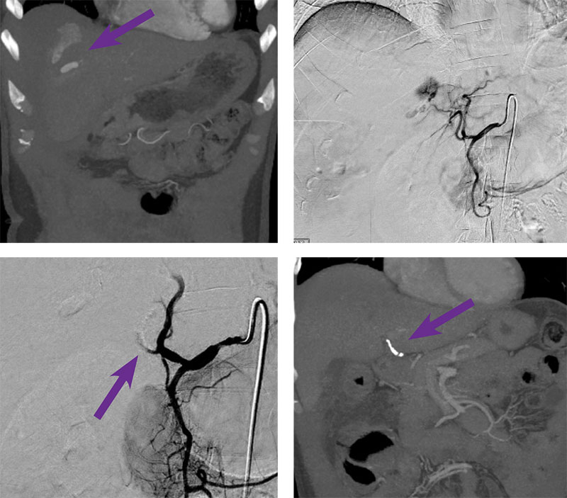
Hepatic artery embolization

Courtesy of Dr. Osmanuddin Ahmed I University of Chicago

Presentation

40-year-old male presented with right upper quadrant stab wound.

Intervention used

Arterial access was gained via the right common femoral artery. A Simmons 1 catheter was used to select the celiac artery and angiography was performed. Through the 5 F catheter, a 2.8 F Progreat™ Microcatheter and Fathom™ Steerable Guidewire was advanced into the left hepatic artery and angiography was performed. The segment 4 hepatic artery was catheterized and arteriography demonstrated a blush protruding from off the branch. 0.2 cc of Obsidio Embolic (purple arrow) was injected via the segment 4 artery. Follow-up angiography demonstrated successful occlusion of the segment 4 artery and resolution of the blush.

Outcome

Patient stabilized immediately following embolization. The patient was discharged after 5 days.

Purple arrows pointing to hepatic artery embolization with Obsidio.

Results from case studies are not necessarily predictive of results in other cases. Results in other cases may vary.