Skip to main content

My account

Boston Scientific accounts are for healthcare professionals only.

Create an account to access online training and education on EDUCARE, manage your customer profile, and connect with customer support and service teams.

My Boston Scientific account

Access your online applications and manage your customer profile.

Quick Links

Contact a representative Online education and training Order products online Reimbursement resources Return a product Customer support

Call customer care

Lung resources

ICE Cryoablation Technology

Explore

Overview

Percutaneous cryoablation (PCA) is a tool for treating primary and metastatic lung tumors. Typically, patients are non-surgical candidates with primary non-small cell or oligometastatic lung cancer. Lung cryoablation preserves pulmonary function, offers repeatability for future metastases, and can treat multiple lung tumors during a single treatment. Unlike other ablative treatments, cryoablation provides excellent local tumor control. Patients typically have a short hospital stay and report low incidence of pre-procedural and post-procedural pain.
 

The ECLIPSE study

Efficacy of Cryoablation on Metastatic Lung Tumors with a 5-Year Follow-up

Study objective

  • Primary objective was to assess 5-year local control of CA in lung tumors of 3.5 cm or less in patients with pulmonary metastatic disease
  • Secondary objectives to evaluate cancer-specific and overall survival, as well as evaluate changes in quality of life (QoL) over a five-year period

Key results

Local Tumor Control Rates

Freedom from local progression

Patients free from local progression without additional locoregional treatment at the index lesion.

call-out for chart showing 78.2% freedom of local progression at 5 years.

(95% CI = 91.4, 98.4; number at risk [N} = 37)

(95% CI = 84.3, 94.4; N = 30)

(95% CI = 84.3, 94.4; N = 23)

(95% CI = 84.3, 94.4; N = 21)

(95% CI = 66.8, 89.5; N = 7)

ECLIPSE study conclusion

Cryoablation is an effective means of local tumor control in patients with metastatic lung disease, with the majority of surviving patients maintaining local tumor control at the index tumor site over 5 years. Furthermore, cancer-specific survival and overall survival were greater after 5 years than for many other local treatment modalities, including surgical resection.

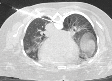
Case study

Cryoablation of mCRC in the Lung Located Adjacent to the Aorta

A 57-year-old woman with a history of lung metastases from colorectal cancer presented with a new 1 cm lung metastasis identified in the lower left lobe. Cryoablation was performed with one IceSphere™ 1.5 needle and CO2 was injected into the pleural space to move the metastasis away from the aorta to prevent possible damage to the aorta and prevent the heat-sink effect that would reduce chances of complete ablation. The unique “stick-mode” feature offered by cryoablation allows the tumor to be moved away from vulnerable adjacent organs, and consequently for technically challenging lung tumors to be treated safely and effectively.

Thierry de Baere, MD I Gustave Roussy Cancer Institute I Villejuif, France

 

Resources

Top