Skip to main content

My account

Boston Scientific accounts are for healthcare professionals only.

Create an account to access online training and education on EDUCARE, manage your customer profile, and connect with customer support and service teams.

My Boston Scientific account

Access your online applications and manage your customer profile.

Quick Links

Contact a representative Online education and training Order products online Reimbursement resources Return a product Customer support

Call customer care

GUIDEZILLA™ II

Guide Extension Catheter

Case Study: Utilization of GUIDEZILLA II Guide Extension Catheter in Complex Disease

Key Learning Points

  • GUIDEZILLA II Guide Extension Catheter is an excellent supportive device for delivery of interventional devices
  • There are multiple uses and delivery options for GUIDEZILLA II Guide Extension Catheter
  • IVUS optimization is critical for best patient outcomes
  • ”The “Inchworm” technique involves advancing the GUIDEZILLA II Extension Catheter over a recently deflated balloon for further advancement down the artery

Patient History

  • Originally presented in a NSTEMI situation
  • Intervention on RCA and Circumflex performed at that time
  • Follow up appointment for elective PCI of the LAD and first Diagonal (D1)

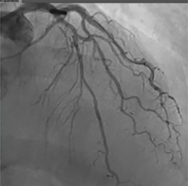
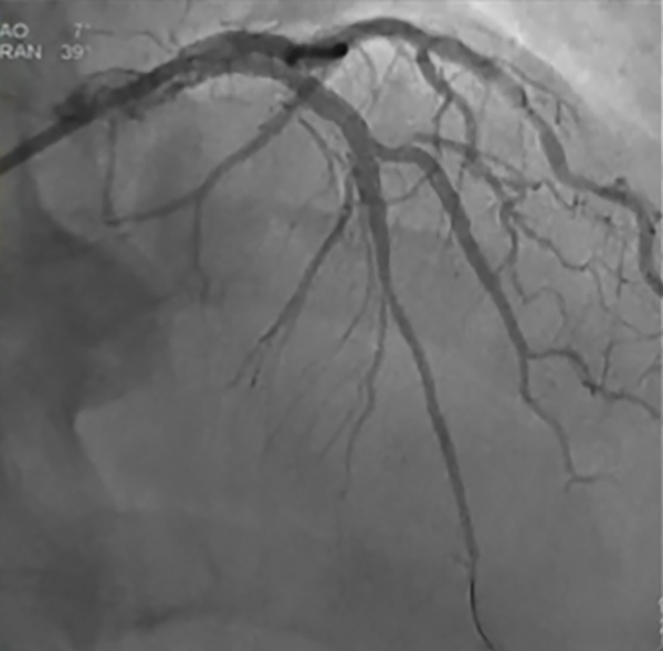
Diagnostic Angiogram

  • Previous stents placed in the RCA and Circumflex are widely patent
  • Disease in LAD and D1 unchanged from previous angiogram
  • Severe vessel overlay and difficulty understanding healthy to healthy
    landing zones (Figure 1)

Figure 1

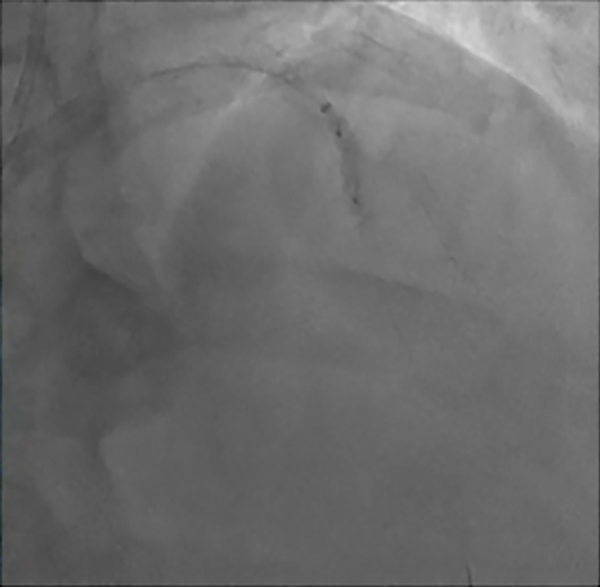
Anticipated Challenges

Figure 2

  • The physician recognized the severity of the disease and the challenges of delivering interventional devices
  • The decision was made prior to the case to utilize the GUIDEZILLA™ II Guide Extension Catheter for support in delivering various devices

Procedure

  • Due to severe overlay, a selective angiogram utilizing the GUIDEZILLA II Guide Extension Catheter (Figure 2) was performed and demonstrated a > 70% lesion in both the LAD and ostium of D1
  • Pre-dilatation of the diagonal was performed with a PTCA balloon catheter
  • Subsequently, a stent was delivered, landing the proximal aspect in the LAD
  • Proximal Optimization Technique (POT) was performed in the ostium of D1 and proximal LAD with semi- and non-compliant balloons, respectively
  • The SAMURAI™ Guidewire was retracted from D1 and advanced to the distal LAD through the previously placed stent, ensuring luminal access
  • Difficulty introducing a winged balloon was experienced and the GUIDEZILLA II Catheter was reintroduced for support
  • Successful crossing of the stent struts was obtained and the semi‑compliant balloon was inflated
  • Once the balloon was deflated, the GUIDEZILLA II Catheter was advanced across the stent struts through the utilization of the “Inchworm”* technique, allowing easier delivery of a stent (Figure 3)
  • Delivery and inflation of a stent was successful, landing proximally to the previously deployed D1 stent
  • Rewiring of D1 with a second SAMURAI™ Guidewire was performed
  • Delivering a balloon through the stent struts proved difficult, so the GUIDEZILLA™ II Catheter was utilized for additional support
  • Diffuse disease on the initial angiogram was acknowledged by the physician and the decision was made to place a stent from the proximal LAD into the Left Main
  • The GUIDEZILLA II Catheter was used to help facilitate delivery of this stent with the Left Main and LAD portions of the stent post dilated with an NC Balloon
  • To check for optimal stent placement, IVUS was advanced down the LAD
  • The physician acknowledged there were no distal stent edge dissections, excellent stent apposition, full stent expansion, and excellent integrity of the neocorina made at the LAD/D1 bifurcation (Figure 4)
  • The final angiogram demonstrated a widely patent left coronary system (Figure 5)

Figure 3

Figure 4

Figure 5

 

 
 

 
Top