Skip to main content

My account

Boston Scientific accounts are for healthcare professionals only.

Create an account to access online training and education on EDUCARE, manage your customer profile, and connect with customer support and service teams.

My Boston Scientific account

Access your online applications and manage your customer profile.

Quick Links

Call customer care

VersaCross™ Access Solution

VersaCross Access Solution provides exchangeless access-to-delivery of left heart therapy devices.

Configure or select a product to continue to order

Transseptal reimagined

Exchangeless solution for access-to-delivery of left heart therapy devices

VersaCross Access Solution with pigtail VersaCross RF Wire.

How it works

The VersaCross RF Transseptal Platform includes an insulated RF Wire, reinforced shapeable dilator, and dedicated RFP-100A™ RF Puncture Generator* for predictable and efficient left heart access, with fewer and lower energy applications required to achieve successful transseptal puncture compared to electrified guidewires or needles.1,2


Why choose the VersaCross Access Solution

Three solutions, one device

Eliminate exchanges

Left heart access using a single solution from start to finish

Access left atrium with precision

Precision radiofrequency (RF) puncture technology to optimize transseptal location for any anatomy

Secure effortless delivery

Instantly gain and maintain access without exchanges

Know where you are at all times

OMNIviz™ technology enhances visualization on fluoroscopy, ultrasound, and electrical anatomical mapping

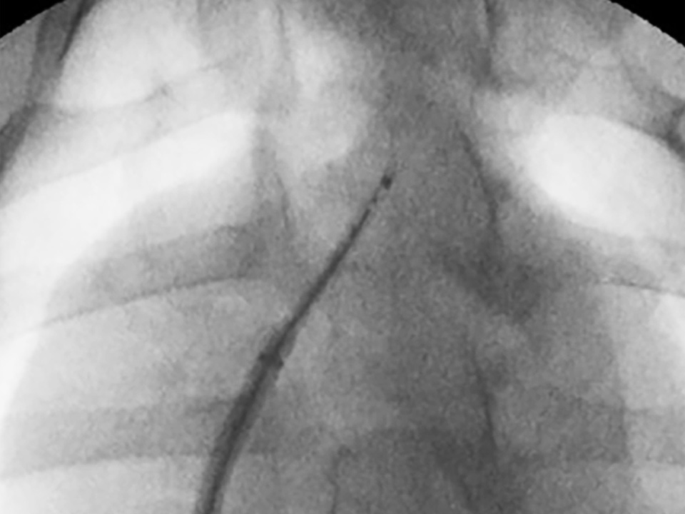
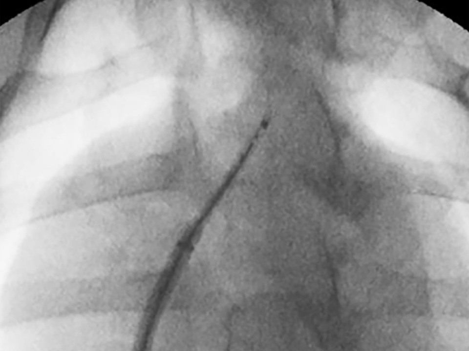
Image demonstrating that VersaCross Access Solution is radiopaque.

Radiopaque

Visualize your entire solution on fluoroscopy

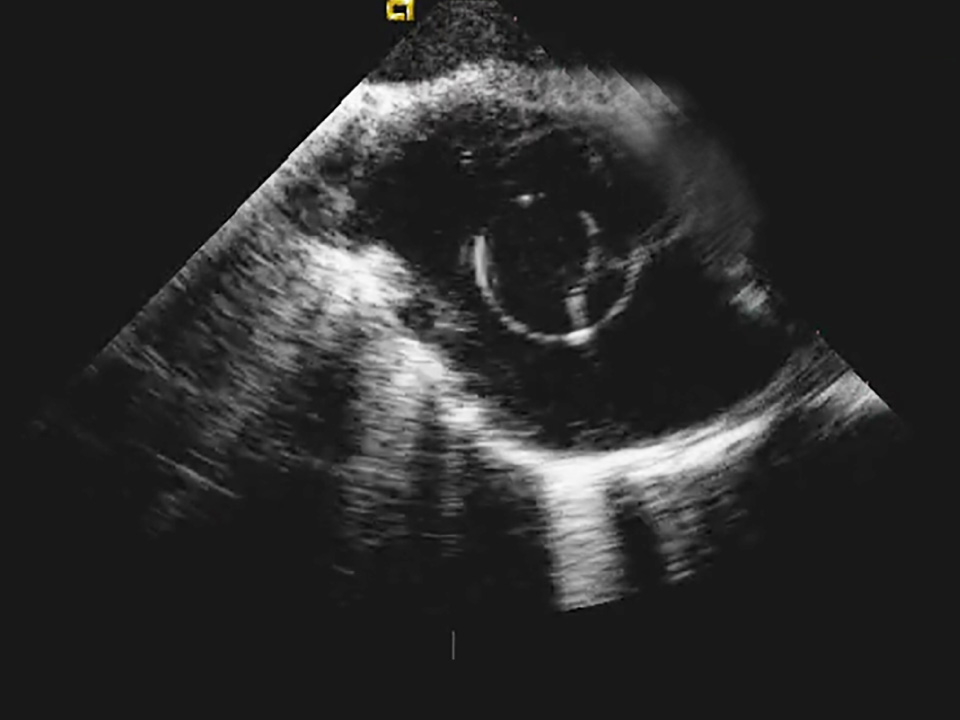
Image demonstrating that VersaCross Access Solution is echogenic.

Echogenic

Reliably locate your devices on ultrasound to reduce reliance on fluoroscopy

Mapping system showing location of VersaCross RF Wire tip.

Mapping

Track and mark RF wire tip position on your mapping system


What’s included

The VersaCross Access Solution includes:

  • VersaCross RF Wire (j-tip or pigtail)
  • Single-use RFP-100A™ Connector Cable
  • VersaCross Transseptal Sheath (8.5 F)
  • Dilator with TRUform™ shapeable technology

You can also purchase the VersaCross Transseptal Sheath on its own.


Required product

RFP-100A RF Puncture Generator.

Designed for controlled tissue puncture using radiofrequency energy

Clinical highlights

November 2022, Dewland et al., published in JACC: Clinical Electrophysiology

Randomized comparison of a radiofrequency wire versus a radiofrequency needle system for transseptal puncture

RF wire-based transseptal workflow resulted in a faster time to transseptal puncture, with fewer exchanges for RF ablation, compared to an RF needle-based workflow.

25% faster

Time to first transseptal puncture with less variability in procedure time

32% faster

Total transseptal puncture time with the RF wire-based workflow

30% lower

Trend for overall fluoroscopy time compared to needle-based workflow


Publication summaries

March 2025, Al-Ahmad et al., published in Journal of Cardiovascular Electrophysiology

The VersaCross RF Wire and dedicated RFP-100A™ RF Puncture Generator* achieved 100% transseptal puncture success with only 1 RF application, compared to an electrified guidewire with long uninsulated electrode and standard electrosurgical generator, which required up to 5 RF applications and did not consistently achieve puncture at 30-40 W despite greater total energy output.


October 2023, Knight et al., published in Journal of Cardiovascular Electrophysiology

In an ex vivo study, mechanical puncture using the FlexCath Cross™ (formerly known as AcQCross™) Transseptal Solution required more force and device advancement than purpose-built radiofrequency (RF) puncture with the VersaCross™ RF Transseptal Solution.


June 2023, Doshi et al., published in Structural Heart

When compared to a standard mechanical needle-based workflow, the VersaCross RF Wire-based workflow enabled faster TSP (transseptal puncture) and PASCAL™ Implant release,‡ with fewer exchanges required to streamline mitral transcatheter edge-to-edge repair (M-TEER) procedures.


January 2023, Whitler et al., published in Catheterization and Cardiovascular Interventions

Transseptal puncture using the VersaCross Access Solution allowed for fewer device exchanges and lower fluoroscopy usage, leading to an overall more streamlined and efficient WATCHMANTM left atrial appendage closure (LAAC) procedure than with the standard NRGTM RF needle workflow.


November 2022, Dewland et al., published in JACC: Clinical Electrophysiology

RF wire-based transseptal workflow resulted in a faster time to transseptal puncture, with fewer exchanges for RF ablation, compared to an RF needle-based workflow.


February 2022, Demo et al., published in Journal of Interventional Cardiac Electrophysiology

The VersaCross RF Transseptal Solution enabled fluoroless transseptal puncture in ablation procedures, with average transseptal puncture time under 20 minutes and zero exchanges required for transseptal puncture.


January 2021, Inohara et al., published in Journal of Interventional Cardiac Electrophysiology

LAAC sheath delivery was two times faster using the VersaCross RF Transseptal Solution than the conventional workflow.


November 2020, Sayah et al., published in Catheterization and Cardiovascular Interventions

The VersaCross RF Transseptal Solution enabled MitraClip™ Guide delivery in under 7.5 minutes.

VersaCross RF Wire

 

FeatureSpecifications
Tip configurationsJ-tip, pigtail
Curve shape9 mm (j-tip), 24 mm (pigtail)
Wire diameter0.035 in (0.89 mm)
Overall length180 cm, 230 cm

VersaCross Transseptal Sheath

 

FeatureSpecifications
French size8.5 F (2.8 mm)
Sheath usable length63 cm, 81 cm
Sheath curves45°, 55°, 90°
Dilator usable length67 cm, 85 cm
Dilator curveD0, D1

Ordering information

1. Choose your VersaCross RF Wire

J-tip, pigtail

 

VersaCross RF Wire in j-tip and pigtail configurations.
VersaCross RF Wire
RF wire length: 180 cm, 230 cm
Wire diameter: 0.035 in (0.89 mm)
Curve diameter: 9 mm (j-tip), 24 mm (pigtail)
2. Choose your sheath to complete your solution

45°, 55°, 90°

VersaCross Transseptal Sheath with sheath curve options of 45°, 55°, and 90°.
VersaCross Transseptal Sheath
French size compatibility: 8.5 F (2.8 mm)
Sheath usable length: 63 cm, 81 cm
Dilator usable length: 67 cm, 85 cm

In-person training

Explore in-person training opportunities for electrophysiologists and interventional cardiologists of all experience levels.

Surgeons in operating room.

Online education

Utilizing RF for Transseptal Puncture

Bradley Knight, MD, shares an overview and techniques of the VersaCross RF Transseptal Solution.

photo of digital presentation versacross access solution new wire

Optimizing EP Lab Efficiency for Cryoablation Procedures

Manish Shah, MD, shares his experience using the VersaCross RF Transseptal Solution.

photo of digital presentation versacross access solution new wire

A New RF Wire Based Transseptal Solution

Originally presented at CSI 2020, Jacqueline Saw, MD, shares step-by-step clinical workflows and latest tools for efficient and precise transseptal puncture.

On-site transseptal simulator training

Hands-on training on the use of RF-based transseptal platforms in various clinical scenarios using virtual reality technology, echocardiography simulators, and anatomical models.

Online medical training and education courses

The EDUCARE online platform makes healthcare education and training more relevant, more comprehensive, more personal, and more accessible. Register to access a library of procedural videos, case studies, training resources, and events.

On-demand

Get 24-hour access to content from your desktop, laptop, or mobile device.

Personalized

Explore interactive videos, case studies, and more, tailored to your medical field.

Trusted

Gain education and insights from globally recognized industry experts.

Detail package

Brochures

Analysis

Video

Clinical footage of the VersaCross Access Solution, a single solution to fast-track access-to-delivery of therapy devices

Results from case studies are not necessarily predictive of results in other cases. Results in other cases may vary.

The VersaCross Access Solution enabling efficient, exchangeless, and effortless access-to-delivery of a left atrial appendage occlusion (LAAO) device



* Baylis Medical Company Radiofrequency Puncture Generator RFP-100A™. Baylis Medical Company is a wholly owned subsidiary of Boston Scientific Corporation.

† AcQCross™ Transseptal Access System, now rebranded as FlexCath Cross™ Transseptal Solution, Medtronic.

 The PASCAL™ Implant is part of the PASCAL Precision™ Transcatheter Valve Repair System.

All trademarks are the property of their respective owners.

 

References:

1 Knight BP, Wasserlauf J, Al-Dujaili S, Al-Ahmad A. Comparison of transseptal puncture using a dedicated RF wire versus a mechanical needle with and without electrification in an animal model. J Cardiovasc Electrophysiol. 2023. doi:10.1111/jce.16111

2 Wasserlauf J, Knight BP. Comparing the safety and effectiveness of dedicated radiofrequency transseptal wires to electrified metal guidewires. J Cardiovasc Electrophysiol. 2022;33(3):371-379. doi:10.1111/jce.15341