Skip to main content

My account

Boston Scientific accounts are for healthcare professionals only.

Create an account to access online training and education on EDUCARE, manage your customer profile, and connect with customer support and service teams.

My Boston Scientific account

Access your online applications and manage your customer profile.

Quick Links

Contact a representative Online education and training Order products online Reimbursement resources Return a product Customer support

Call customer care

Clean margins support accurate diagnosis

Healthcare Professionals / Gastroenterology / Solutions for Detection to Resection / Clean Margins 

Optimal Tissue Samples Help Support Accurate Diagnoses:

Tips for obtaining quality samples for pathology

Jeremy S. Miller, MD
Medical Director at Boston Scientific
Tissue Acquisition: Biopsy
There are two key Elements to Optimal Biopsy Samples

Specimen Volume and Quality

The "UPPER" Technique1

  • Use largest size forceps that will fit in the biopsy channel of the scope
  • Position forceps en face to the mucosa ("turn-in" technique versus "scissor" technique versus scope rotation)
  • Partially collapse lumen (reduce wall tension)
  • Energize the bite (firm, snap the forceps closed, short throw/pull into scope)
  • Repeat biopsies - especially in small and large intestine (large forceps aids in size of second biopsy sample)

Handling Techniques to Improve Specimen Quality

  • Identify "inadequate" samples
    - Inadequate samples (size and quality) compromise the quality of the overall specimen
  • Optimal extraction technique -
    - Use blunt probe to push biopsy out of the base of the opened forceps cups
    - Specimen can be squashed if pushed from top of open forceps
  • Shaking biopsies off forceps into fixative can traumatize tissue and cause erosion of the epithelium
  • Try to keep to a maximum of 4 biopsies/fixative jar

Driving Quality through Communication

Important: Better communication between the pathologist and the clinical staff helps drive more complete and accurate diagnoses
Lesion DescriptionUse simple language, give visuals, e.g. “thick folds” vs “hypertrophic”
Biopsy InstrumentProvide detail on device, e.g. “hot biopsy forceps” vs. “pinch forceps”
For PolypsGive size and style (sessile or pedunculated)
Key DrugsProvide inclusive and detailed list of medications
History Provide brief 1-2 line history
Questions for PathologistBe specific about what questions you want answered

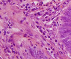
Reduce Crush Artifact

  • Crush artifact is the tearing or compression of tissue often caused by the penetration of the forceps during biopsy
  • Every biopsy has some crush artifact, typically at the periphery.
  • Crushed tissue is difficult to interpret by a pathologist and can impact the ability to make definitive diagnoses
  • Minimize the amount of tissue crushed by:
    – Minimizing the handling of the specimen
    – Not shaking the biopsy off the forceps
    – Not pushing the biopsy out of the cup from the top

Disease States

GI disease states are complex and require specialized expertise and partnership between clinical staff and the pathology provider

The likelihood of an accurate diagnosis may increase with:

  • Selection of proper tools with adequate tissue sampling
  • Tailored approaches to specific disease states
  • Proper specimen handling
  • Detailed communication between staff and pathology lab
  • Expert, specialized pathologists
 
Top