Skip to main content

My account

Boston Scientific accounts are for healthcare professionals only.

Create an account to access online training and education on EDUCARE, manage your customer profile, and connect with customer support and service teams.

My Boston Scientific account

Access your online applications and manage your customer profile.

Quick Links

Call customer care

VISUAL ICE™ MRI Cryoablation System

Visual ICE MRI Cryoablation System offers precise and effective tumor treatment by combining cryoablation zone visibility with high-resolution MRI imaging.

Configure or select a product to continue to order

The Visual ICE™ MRI Cryoablation System

Specialized for the magnet room, the Visual ICE MRI Cryoablation System is the only ablation system that leverages the unique advantages of cryoablation zone visibility with the exquisite image resolution of MR.

How it works

Learn about the cryoablation mechanism of action and how it's used to target tumors.

Why use the Visual ICE MRI Cryoablation System and Needles

Visual ICE MRI Cryoablation System close up.

Visual ICE MRI Cryoablation System

The Visual ICE MRI offers a safe and efficient cryoablation procedure1-4 facilitating precise and effective treatment1,5-7 without the need for surgery or repeated radiation treatments8-10

  • Custom designed for each MRI environment with minimal installation and downtime
  • Sixteen needle ports allowing for a range of procedures
  • Streamlined gas, fiber optic, and electrical lines with the Junction boxes
MRI cryoablation needles.

MRI Cryoablation Needles

Used with the Visual ICE MRI Cryoablation System, our MRI needles leverage the unique advantages of cryoablation zone visibility with the exquisite image resolution of MR.

  • Straight or angled 90° IceRod™ MRI and IceSeed™ MRI needle configurations in a choice of lengths and diameters
  • Three-facet sharp needle tip for easy percutaneous insertion and control
  • Lightweight handles to minimize torque on inserted needles

Subscribe to receive product updates

Receive emails on the latest advances, clinical data and news.

References

  1. van Oostenbrugge TJ, Langenhuijsen JF, Overduin CT, et al. J Vasc Interv Radiol 2017; 28(8): 1098-1107
  2. Overduin CG, Jenniskens SFM, Sedelaar JPM, et al. Eur Radiol 2017; 27(11): 4828-483
  3. Sewell PE, Howard JC, Shingleton WB, Harrison RB. South Med J 2003; 96(7): 708-710
  4. Tatli S, Acar M, Tuncali K, et al. Diagn Interv Radiol 2010; 16(1): 90-95
  5. Gangi A, Tsoumakidou G, Abdelli O, et al. Eur Radiol 2012; 22(8): 1829-1835
  6. Aghayev A, Tatli S. Expert Rev Med Devices 2014; 11(1): 41-52
  7. Glazer DI, Tatli S, Shyn PB, et al. AJR Am J Roentgenol 2017; 209(6): 1381-1389
  8. Kinsman KA, White ML, Mynderse LA. Cardiovasc Intervent Radiol 2017; doi: 10.1007/s00270-017-1799-6
  9. Woodrum DA, Kawashima A, Gorny KR, Mynderse LA. Magn Reson Imaging Clin N Am 2015; 23(4): 607-619
  10. Woodrum DA, Kawashima A, Karnes RJ. Urology 2013; 82(4): 870-875

 

Ordering information

Visual ICE MRI cryoablation system

Catalog NumberVisual ICE™ MRI System and AccessoriesDescription
H7493961070000Visual ICE™ MRI Cryoablation SystemA cryoablation system with built-in gas pressure regulators; two flexible gas supply lines (one argon, one helium) with pressure gauges; a system cover
H7493970071000Visual ICE™ MRI Mobile Connection PanelA Visual ICE™ MRI remote Mobile Connection Panel to support MRI needle connections in magnet room; a Mobile Connection Panel cover
H7493969970500Visual ICE™ MRI Junction Box AssemblyTwo Visual ICE™ MRI Junction Box Assemblies containing gas, electrical and fiber optic connectors; One Penetration Panel
ASM7005Visual ICE™ MRI Junction Box Harness (5 m)One Visual ICE™ MRI Junction Box Harness (5 m) containing gas, electrical and fiber optic lines and connectors, packed in a protective case
ASM7010Visual ICE™ MRI Junction Box Harness (10 m)One Visual ICE™ MRI Junction Box Harness (10 m) containing gas, electrical and fiber optic lines and connectors, packed in a protective case
ASM7015Visual ICE™ MRI Junction Box Harness (15 m)One Visual ICE™ MRI Junction Box Harness (15 m) containing gas, electrical and fiber optic lines and connectors, packed in a protective case

Classic MRI cryoablation needle details

Classic MRI Needle DetailsCatalog NumberShaft Length (cm) / Gauge (G)Active Thaw
IceSeed™ 1.5 MRI Cryoablation NeedleFPRPR319217.5 / 17Helium
IceSeed™ 1.5 MRI 90° Cryoablation NeedleFPRPR319417.5 / 17Helium
IceRod™ 1.5 MRI Cryoablation NeedleFPRPR319317.5 / 17Helium
IceRod™ 1.5 MRI 90° Cryoablation NeedleFPRPR319517.5 / 17Helium

 

Training resources

Sign up to learn about Boston Scientific events and cryoablation education opportunities for bone, kidney, lung and nerve indications.

Online medical training and education courses

The EDUCARE online platform makes healthcare education and training more relevant, more comprehensive, more personal, and more accessible. Register to access a library of procedural videos, case studies, training resources, and events.

null

On demand

Get 24-hour access to content from your desktop, laptop, or mobile device.

null

Personalized

Explore interactive videos, case studies, and more, tailored to your medical field.

null

Trusted

Gain education and insights from globally recognized industry experts.

Visual ICE MRI Brochure

Learn about the Visual ICE MRI Cryoablation System offering a unique integration of cryoablation zone visibility with MR image resolution for precise and effective treatments.


Kidney cryoablation

Percutaneous cryoablation (PCA) for renal cell carcinoma (RCC) has grown rapidly over the last decade. This is due in large part to a growing body of evidence demonstrating comparable outcomes with partial nephrectomy, but with decreased complications and greater preservation of renal function. Similarly, cryoablation has an advantage over heat-based ablation modalities, allowing for visualization of the ablation zone and preservation of critical structures, even in central lesions.

EuRECA study overview

The largest, prospective, real-world, multicenter, multidisciplinary study on the use of cryoablation for treatment of renal cell carcinoma (RCC) in 1700 patients.

Urology Initiated

A joint mission between urologists and interventional radiologists and administered through the Bristol Urological Institute

Over 1400 biopsy-proven RCC patients

Data from over 900 treatments with biopsy-proven RCC with an almost 5-year follow-up

15 centers across 5 European countries

This Boston Scientific sponsored study began in 2014 and ended in 2020.

Outcomes comparison

How do cryoablation and ablation compare to partial nephrectomy across key outcomes?

MetricHow does cryo/ablation compare to partial nephrectomy (PN)Limitations
Local recurrence free survival*Level 1 data neededOlder data, meta-analyses include RF
Metastatic-free survival*Ablation = PN 
Cancer-specific survival*Ablation = PN 
Overall survival*Level 1 data neededSelection bias - ablation patients tend to be older with more comorbidities
Renal FunctionCryo/ablation > PN 
SafetyCryo/ablation > PN 
CostCryo/ablation > PN 
Quality of lifeCryo/ablation > PN 

*Oncological outcomes: Similar = | Better >

Case studies

Treatment of lesion adjacent to colon Treatment of lesion adjacent to colon


Adjacent Structures and RCC

A 66-year-old man presented with 2.0 cm x 2.1 cm left sided, endophytic RCC and biopsy confirmed clear cell renal cell carcinoma. Initial CR images on the day of the procedure demonstrated the lesion and adjacent colon, which would likely be injured if not moved. Cryoablation was performed with three IceRod™ 1.5 CX Needles for treatment and a yueh needle was utilized to introduce normal saline to hydrodissect away the adjacent colon. The patient had no pain or significant complaints; he was discharged and returned to work the same day of the procedure. He continues to be without evidence of residual/recurrent disease one-year later.

Shamar Young, MD I University of Minnesota I Minneapolis, MN

Cryoablation needle trajectory angled to protect critical kidney structure Cryoablation needle trajectory angled to protect critical kidney structure


Using the Trajectory of the Needle to Protect Critical Structures

A 53-year-old man presented with 2.5 cm x 2.3 cm endophytic RCC  in the anterior aspect of the lower pole of the left kidney. Cryoablation was performed with one IceForce™ 2.1 CX Needle. The tip of the needle was pointed toward the ureter since lethal ice only extends 5 mm beyond the tip of the needle. The patient was discharged the same day and follow-up imaging demonstrated no residual or recurrent disease 12-months post ablation.

AJ Gunn, MD I University of Alabama at Birmingham I Birmingham, AL

Cryoablation of 7cm left renal tumor Cryoablation of 7cm left renal tumor


Cryoablation of 7 cm Renal Tumor after Previous Contralateral Nephrectomy

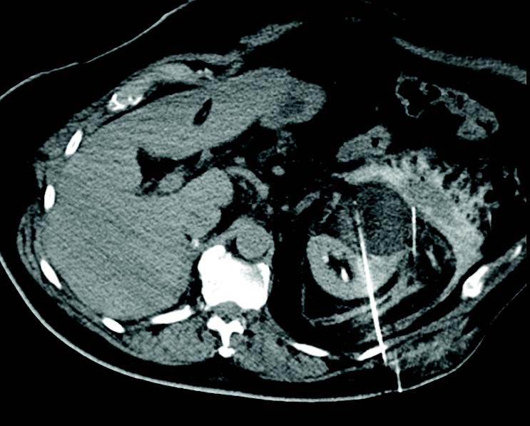
A 78-year-old man presented with right kidney multifocal RCC with vein invasion and concurrent 7 cm left anterior conventional clear cell RCC. The right tumor was treated with nephrectomy and the left tumor was treated with cryoablation 3 months after the nephrectomy. Hydrodissection was used to protect adjacent structures and 7 IceRod™ 1.5 PLUS needles were used to treat. There were no reported adverse events and early follow-up imaging of the left kidney confirmed adequate ablation.

Alex King, MD I University Hospital Southampton I Southampton, UK

Kidney resources


Lung cryoablation

Percutaneous cryoablation (PCA) is a tool for treating primary and metastatic lung tumors. Typically, patients are non-surgical candidates with primary non-small cell or oligometastatic lung cancer. Lung cryoablation preserves pulmonary function, offers repeatability for future metastases, and can treat multiple lung tumors during a single treatment. Unlike other ablative treatments, cryoablation provides excellent local tumor control. Patients typically have a short hospital stay and report low incidence of pre-procedural and post-procedural pain.

The ECLIPSE study

Efficacy of Cryoablation on Metastatic Lung Tumors with a 5-Year Follow-up

Study objective

  • Primary objective was to assess 5-year local control of CA in lung tumors of 3.5 cm or less in patients with pulmonary metastatic disease
  • Secondary objectives to evaluate cancer-specific and overall survival, as well as evaluate changes in quality of life (QoL) over a five-year period

Key results

Local Tumor Control Rates

94.2%

1 year

87.9%

3 years

79.2%

5 years

Freedom from local progression

Patients free from local progression without additional locoregional treatment at the index lesion.

bar chart showing 94.9 percent at 1 year, 89.3 percent at 2 years, 89.3% at 3 years, 89.3% at 4 years, and 78.2 percent at 5 years

78.2%

Freedom of Local Progression at 5 years

(95% CI = 91.4, 98.4; number at risk [N} = 37)

(95% CI = 84.3, 94.4; N = 30)

(95% CI = 84.3, 94.4; N = 23)

(95% CI = 84.3, 94.4; N = 21)

(95% CI = 66.8, 89.5; N = 7)

Conclusion

Cryoablation is an effective means of local tumor control in patients with metastatic lung disease, with the majority of surviving patients maintaining local tumor control at the index tumor site over 5 years. Furthermore, cancer-specific survival and overall survival were greater after 5 years than for many other local treatment modalities, including surgical resection.

Case study

MRI top view of lung image MRI top view of lung image



Cryoablation of mCRC in the Lung Located Adjacent to the Aorta

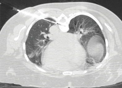
A 57-year-old woman with a history of lung metastases from colorectal cancer presented with a new 1 cm lung metastasis identified in the lower left lobe. Cryoablation was performed with one IceSphere™ 1.5 needle and CO2 was injected into the pleural space to move the metastasis away from the aorta to prevent possible damage to the aorta and prevent the heat-sink effect that would reduce chances of complete ablation. The unique “stick-mode” feature offered by cryoablation allows the tumor to be moved away from vulnerable adjacent organs, and consequently for technically challenging lung tumors to be treated safely and effectively.

Thierry de Baere, MD I Gustave Roussy Cancer Institute I Villejuif, France

Lung resources


Nerve cryoablation

Due to the opioid crisis, there is a growing need for alternate pain palliation methods for hard-to-treat neuropathies. Because of this, Interventional Radiologists (IRs) are playing an increasing role in the pain management space. The IR’s ability to percutaneously access otherwise unreachable nervous system structures, visualize and monitor ablation zones, and induce predictable neuroregeneration in clinical settings has unlocked a multitude of opportunities. 

Cryoneurolysis nerve targets

body outline with points showing nerve targets.

Interventional Radiologists must be aware of key nerve targets, have an in-depth understanding of which patients are candidates for image-guided percutaneous cryoneurolysis (PCA), and the differentiators between cryoablation and heat or alcohol-based neurolysis.

  • Pudendal Nerve
  • Morton's Neuroma
  • Dorsal Neuropathies
  • Limb Neuroma
  • Celiac Plexus
  • Trigeminal Nerve
  • Spanchnic Nerve

Case studies

MRI image from Chary cryoneurolysis case MRI image from Chary cryoneurolysis case


Celiac Plexus Cryoneurolysis case study 

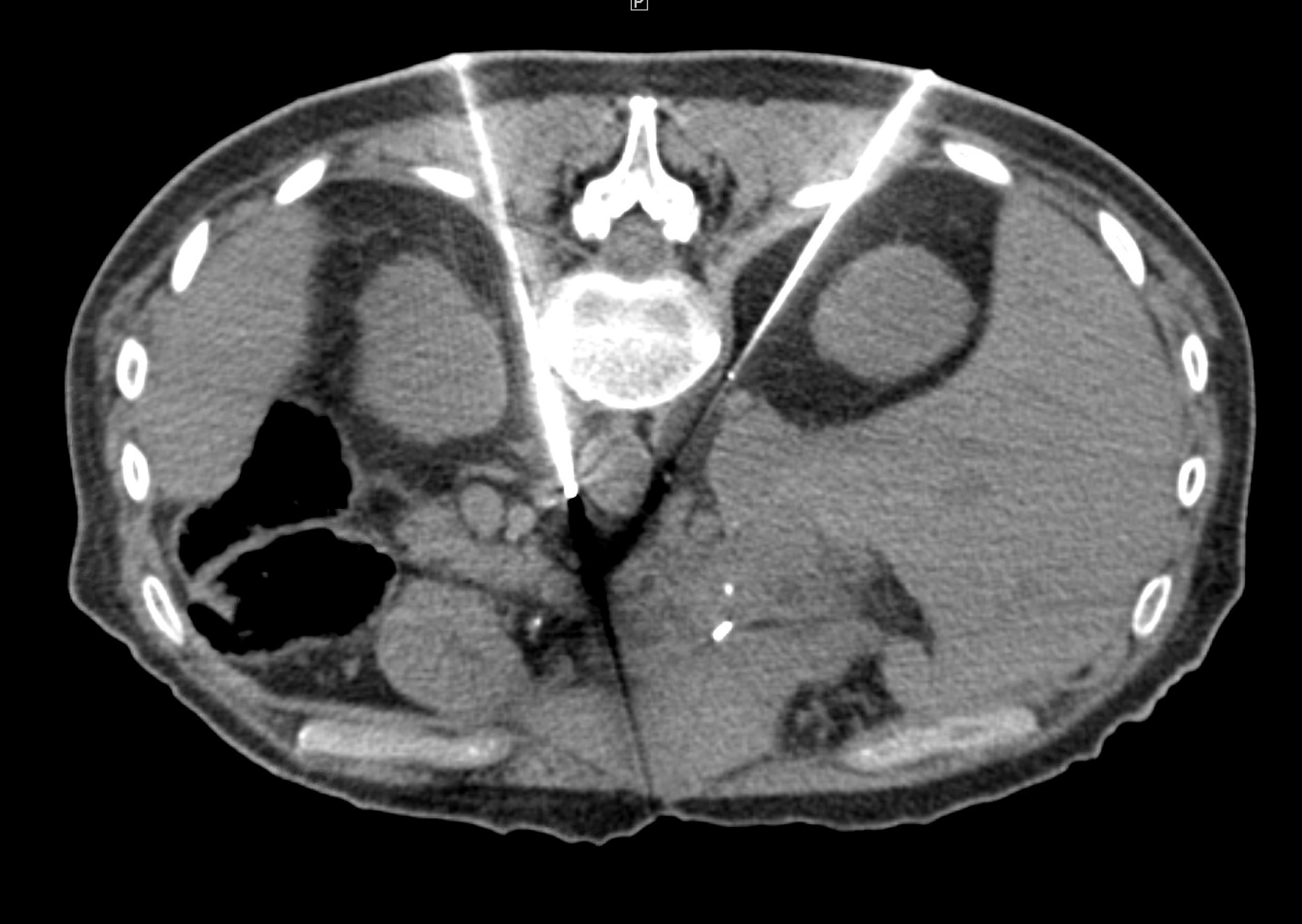
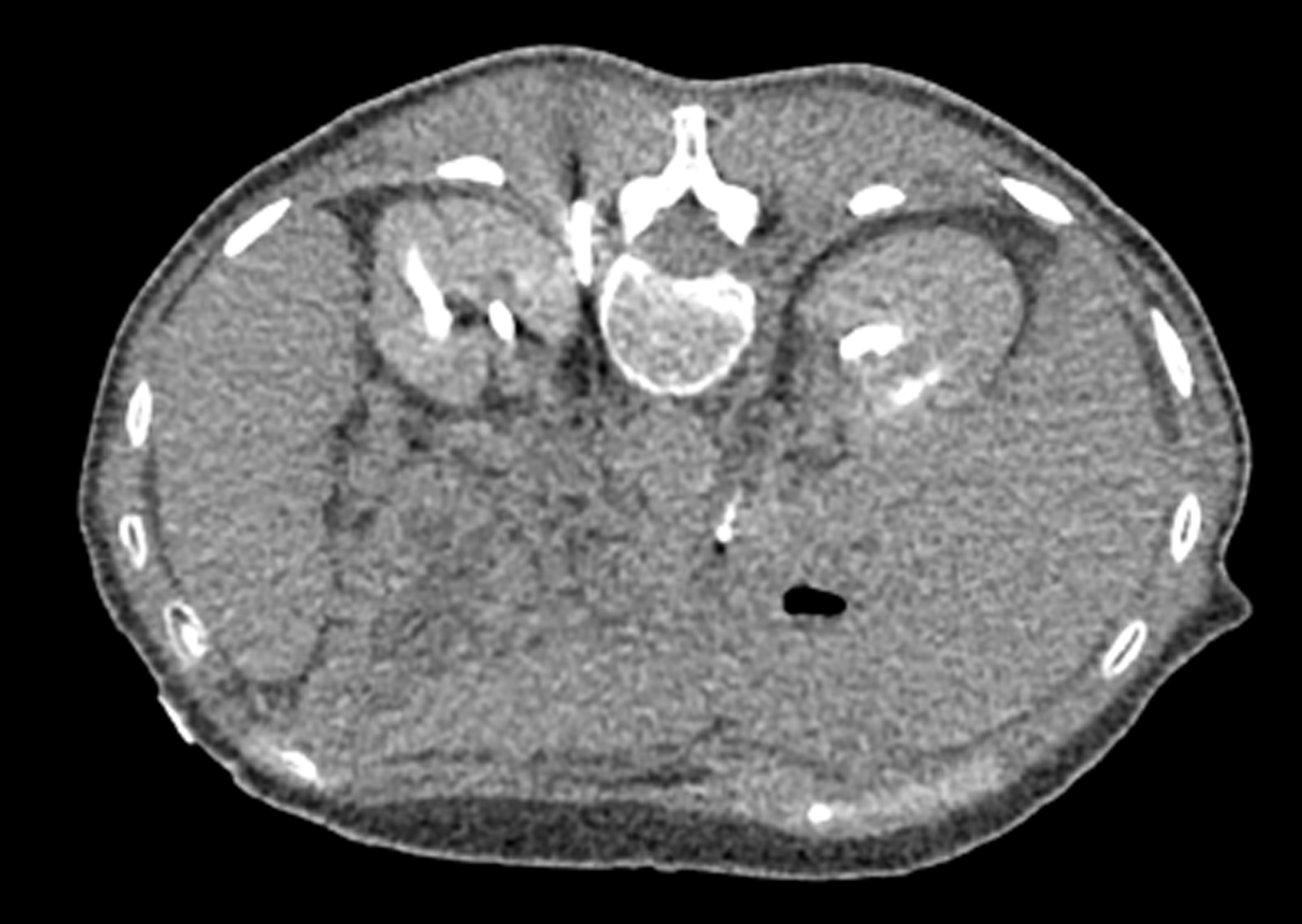
A 66-year-old man presented with intractable upper abdominal pain refractory to medical management with opiates. MRI axial images through the celiac plexus at the celiac plexus at the level of the celiac axis and SMA origins demonstrate bulky retroperitoneal adenopathy and soft tissue tumor infiltrate. Two IceRod™ 1.5 CX needles were placed within and along the bilateral celiac plexus via CT-guidance. The CT Axial image (right) in prone position shows right-sided iceball formation along the celiac plexus demonstrating excellent coverage. The patient reported pain at 2/10 after a 3-day follow-up pain assessment; the pain score before the procedure was a 10/10.

Aron Chary, MD I MidSouth Imaging - Vascular Interventional Physicians I Memphis, TN

MRI image from Chary cryoneurolysis case MRI image from Chary cryoneurolysis case

Celiac Plexus Cryoneurolysis Utilized to Treat Abdominal Pain from Pancreatic Cancer

A 79-year-old man presented with abdominal pain radiating to his back. He was referred to Interventional Radiology by his Medical Oncologist for a ‘celiac plexus block.’ Two IceRod™ 1.5 CX needles were placed along the course of the celiac plexus bilaterally. The patient experienced mild orthostatic hypotension in the recovery area, a typical transient phenomenon with this treatment. The patient was seen in post-operative clinic one week after the procedure. Pain was down to 3/10 (VAS) from 8/10 (VAS) pre-op with improved appetite, better sleep, and reduced constipation. The pain relief typically last approximately 6-12 months, and the procedure can be repeated should the pain return.

Robert Evans Heithaus, MD I Vascular and Interventional Radiologist University of Florida I Gainesville, FL