Skip to main content

My account

Boston Scientific accounts are for healthcare professionals only.

Create an account to access online training and education on EDUCARE, manage your customer profile, and connect with customer support and service teams.

My Boston Scientific account

Access your online applications and manage your customer profile.

Quick Links

Call customer care

Peripheral Rotablator™ Rotational Atherectomy System

Precise. Predictable. Proven. Experience the controlled precision of a diamond-tipped burr designed to modify vessel compliance in even the most calcified peripheral lesions. When it comes to atherectomy, trust the Rotablator System for proven patient outcomes.

Configure or select a product to continue to order

Product Details

The Rotablator Atherectomy System is an air-driven system featuring a 5-micron diamond-tipped burr that rotates at up to 190,000 RPM.

Precise

Front-Cutting
The Rotablator System’s diamond-tipped burr is engineered to immediately engage the lesion, enabling precise control of ablation even in tight or occluded lesions.

Cutting surface immediately engages the lesion.

Predictable

Stable Rotation
The Rotablator System's diamond-tipped burr spins concentrically on the wire, providing confidence even when treating small or tortuous vessels.

Cutting surface immediately engages the lesion

Endovascular Today Article

Download the EVT BTK Approach to Calcium Article.

Below-the-Knee Approach to Calcium

Total Control

  • Control the outcome with a symmetric burr that creates a smooth lumen at a specific diameter.
  • Control ablation with a burr that follows the wire.
  • Control embolic release with a 5-micron diamond-tipped burr that ablates plaque into micro-particles smaller in size than a red blood cell.
20μm diamond grit (5μm exposed). 20μm diamond grit (5μm exposed)

Proven

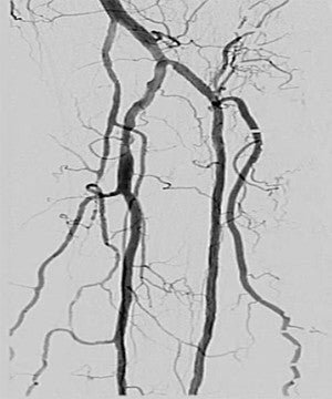
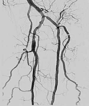
Confidence in calcium for over 20 years

  • Low complication rates1
  • 76% primary patency2
  • 89% limb salvage rate3
Proven in calcified arteries. Proven in calcified arteries

Product Specifications

  • 135cm catheter length
  • 0.009" over-the-wire
  • 4.3F protective sheath
Burr Size (mm)Guide Sheath or Introducer Sheath Size*
1.255 F
1.505 F
1.756 F
2.007 F
2.257 F
2.508 F

* For a given French size guide sheath or introducer sheath, the internal lumen and hemostasis valve will vary from manufacturer to manufacturer. When using an introducer for the first time, it should be tested with the largest Peripheral RotaLink Plus burr intended to be used with it.

Advancer

Burr

Peripheral RotaWire™ Guide Wire

  • 330cm total length
  • 0.009" body
  • 0.014" spring tip
  • Extra Support – a more supportive wire for distal lesions or heavily calcified proximal lesions
  • Floppy – more flexible and torqueable wire with reduced guide wire bias

Peripheral RotaGlide™ Lubricant

  • 20cc vial lubricant intended to reduce friction and improve tactile feel

Peripheral Rotablator ordering information

Peripheral RotaLink™ Plus Burr Catheter 135 cm catheter length, 0.009" OTW, 4.3 F (0.058") protective sheath

UPNCatalogDescription
M0011401250 140-125 1.25 mm Peripheral RotaLink Plus, 5 F
M0011401500 140-1501.50 mm Peripheral RotaLink Plus, 5 F
M0011401750140-1751.75 mm Peripheral RotaLink Plus, 6 F
M0011402000140-2002.00 mm Peripheral RotaLink Plus, 7 F
M0011402250140-2252.25 mm Peripheral RotaLink Plus, 7 F
M0011402500140-2502.50 mm Peripheral RotaLink Plus, 8 F

Peripheral RotaWire Guidewire and WireClip™ Torquer 330 cm length, 0.009" diameter body with 0.014" spring tip

UPNCatalogDescription
M0011373321137-3321 Extra Support Peripheral RotaWire (Box of 5)

Rotablator Console

UPNCatalogDescription
H80222020039122020-039 Rotablator Console Kit (includes console, foot pedal and 20 ft. air supply hose)
H80221600003121600-003 20 ft Air Supply Hose – replacement
H80222436002122436-002 Dynaglide™ Foot Pedal – replacement
H802221510011 22151-001 Console Power Cord – replacement

Accessories

UPNCatalogDescription
M00114100062 141-0006 Peripheral RotaGlide™ Lubricant (Box of 6)
H8021590101115901-01 HTI Regulator Kit 
H80222196003222196-003 WireClip Torquer (Box of 5)

Online medical training and education courses

The EDUCARE online platform makes healthcare education and training more relevant, more comprehensive, more personal, and more accessible. Register to access a library of procedural videos, case studies, training resources, and events.

null

On demand

Get 24-hour access to content from your desktop, laptop, or mobile device.

null

Personalized

Explore interactive videos, case studies, and more, tailored to your medical field.

null

Trusted

Gain education and insights from globally recognized industry experts.

Video Resources

Rotablator System Set-Up

Learn more about setting up the Peripheral Rotablator System

Rotablator CLI BTK Case Study – Cardenas

Peripheral Rotablator Mechanism of Action

Other resources