Skip to main content

My account

Boston Scientific accounts are for healthcare professionals only.

Create an account to access online training and education on EDUCARE, manage your customer profile, and connect with customer support and service teams.

My Boston Scientific account

Access your online applications and manage your customer profile.

Quick Links

Call customer care

Surgeon wearing glasses and mask with scrubs on.

Obsidio™ Conformable Embolic

Case study

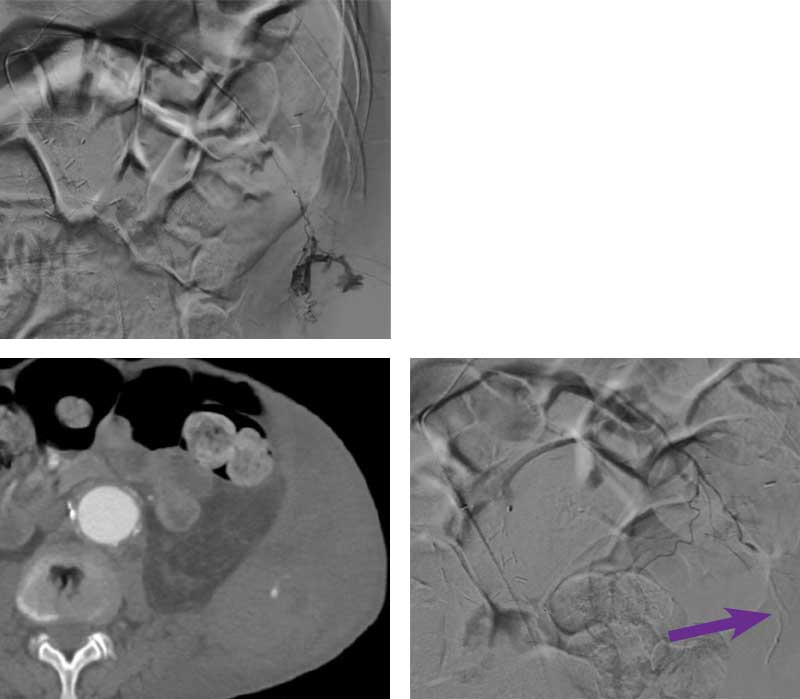
Lumbar artery embolization

Courtesy of Dr. Rahul Patel I Mt. Sinai Hospital, NY

Presentation

67-year-old male with a history of a 4.7 cm abdominal aortic aneurysm, remote history rectal cancer status post resection, heart failure with reduced ejection fraction and CAD presents to the ED with disabling acute onset left hip pain and an expanding left flank mass. The patient is on dual anti-platelet therapy for percutaneous coronary intervention within the past year. The patient denied any history of falls or trauma. On presentation the patient was hemodynamically stable.

Intervention used

A 5 Fr x 40 cm Destination™ Sheath was placed in the right common femoral artery. An aortogram was performed with a 5 Fr pigtail catheter from the suprarenal abdominal aorta, which demonstrated active extravasation from the left L1 lumbar artery. A 5 Fr Headhunter catheter was used to select the left L1 lumbar artery, and distal navigation was achieved with a microcatheter and Fathom™ 16 Steerable Guidewire. The distal L1 lumbar artery was embolized with 0.3 mL of Obsidio Embolic using the standard technique. Completion angiography from the proximal left L1 lumbar artery demonstrated a static contrast column with no evidence of extravasation.

Outcome

Patient did well without need for discontinuation of antiplatelet regimen and blood transfusions. Patient was discharged home 2 days later.

Scan images from Obsidio lumbar artery embolization case.

Results from case studies are not necessarily predictive of results in other cases. Results in other cases may vary.