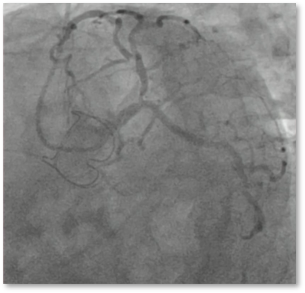
Left Main Bifurcations
Live Case Series

LEFT MAIN BIFURCATION

& Aorto Ostial Disease

In partnership with Radcliffe Cardiology

Register now

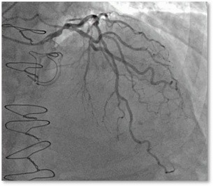
Multi Vessel Disease 

Ensure cost-efficiency in your Multi-vessel Disease cases.

Multi-vessels coronary artery disease (CAD) is a disease stage in which at least two or three of the epicardial coronary arteries is involved with atherosclerosis of significant severity.

The goal in the treatment of multi-vessel disease is to reduce angina and heart failure symptoms.

The FAME study demonstrated that routine measurement of FFR (Fractional Flow Reserve) during DES-stenting in patients with multi-vessel disease is superior to current angiography guided treatment and improves outcome of PCI significantly.

From a short time, we also see some non Hyperemic index's been developed such as DFR™.  The goal of these indexs are to avoid injection of adenosine. It may reduce cost and duration procedure. It also may lead to assess patient who are contraindicated to FFR.

 View case study on PCR online

CASE STUDY

Innovations in complex multivessel disease PCI – SYNTAX II strategy and beyond

Get to know COMET™

PRODUCT HIGHLIGHT

COMET™ Pressure Guidewire:
Now displaying DFR™

Diastolic pressure ratio: new approach and validation

CLINICAL EVIDENCE

Diastolic pressure ratio: new approach and validation vs. the instantaneous wave-free ratio

Syntax II

SYNERGY™ Stent System

SYNTAX II

SYNTAX II Trial Data

CLINICAL EVIDENCE

The SYNTAX II Trial evaluated the SYNERGY™ BP-EES Stent in a procedure-related trial

Synergy

PRODUCT HIGHLIGHT

SYNERGY™ Coronary Stent System: Designed to promote optimal healing

 

 

EDUCARE - Medical Education

Electrophysiology products

Education & Training with EDUCARE

Our easily accessible educational platform, EDUCARE, offers you a personalised suite to support your medical education requirements.

 

Advancing science for more collaborative solutions to patient care
Together, we advance science for life.

Join our Complex PCI Community

Join our Complex PCI Community

Stay up-to-date via email on the latest advances in complex PCI

Button
Request a Sales Rep

Request a Sales Rep

Fill out a quick form and one of our sales representatives will be in touch to answer any question you have.

Button
Download our product catalogue

Product catalogue

Download our product catalogue and stay up to date on our latest innovations.

Button
Top