Simplicit90YTM
Personalised Dosimetry Simplified
TheraSphereTM Y90 Glass Microspheres combined with a Personalised Dosimetry approach enables patient specific dose optimization to maximize Tumour
Absorbed Dose while minimizing dose to healthy tissues.
Key Resources
Explore
Simplicit90YTM Personalised Dosimetry Software
Simplicit90YTM is a customised, easy-to-use dosimetry software developed for accelerating treatment planning and improving 90Y Glass Microspheres Selective Internal Radiation Therapy (SIRT) workflow.
The software enables to quickly embrace Personalised Dosimetry in your clinical practice with dedicated tools and features thereby reducing inter-user variability and improving dosimetric consistency.
Simplicit90Y™ Key Features
Simplicit90Y™ is a comprehensive software solution for dosimetry planning, allowing you to:
Enhance Consistency And Efficiency
Simplicit90Y™ allows you to easily incorporate multimodal images with a range of high-performance registration tools, all with one common interface.
Coupled with automated and semi-automated tools for segmentation, this reduces inter-user variability and improves dosimetry consistency and planning confidence.
Analyse With Ease
Manipulate your data and expedite analysis with tools for the following:
- Image-based (2D, 3D) dosimetry assessment
- Rapid LSF calculation
- Advanced image registration quality control tools
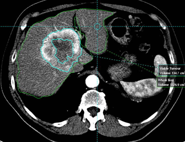
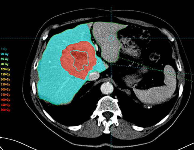
Confirm 90Y Treatment Quality
Simplicit90Y™ provides the capability to visualise prospective dose distribution and assess the absorbed dose delivered to the tumour and normal tissue.
By allowing for pre and post-treatment dosimetry, this software can help determine the effectiveness of a
patient’s 90Y SIRT with confidence.
Personalise Dosimetry
Simplicit90Y™ can be used to interactively tailor the absorbed dose per perfused volume by adjusting the injected activity. The software tools can be customised to a patient’s specific tumour presentation and anatomy.
High performance rigid and deformable
image registration

View absorbed dose distribution with isodose
contour line display

Show heterogeneity of absorbed dose distribution in
critical structures, and assess tumour coverage
Evidence of Personalised Dosimetry
Personalised Dosimetric Approach Improves Overall Survival
Hear From Y-90 Leaders
Each patient is unique
Hear Y-90 physicians discuss the benefits and importance of a Personalised Dosimetric approach.
Additional Resources
Ordering
TheraSphere™