FETCH™2 Aspiration Catheter Case Study

Manual aspiration thrombectomy of a native coronary artery.

Patient History

  • 64 year old male
  • Former smoker
  • History of hypertension
  • Presented with chest pressure relieved by nitroglycerine in the emergency department
  • EKG demonstrated less than 1 mm of ST depression in the anterior leads
  • Subsequently the troponin increased to 7.23 ng/mL
  • Patient was referred for coronary angiography

Diagnostic Angiogram

  • Initial angiogram showed TIMI 3 flow
  • Pre-wiring, the thrombus grade was 3
  • The left main and left anterior descending arteries had no significant lesions
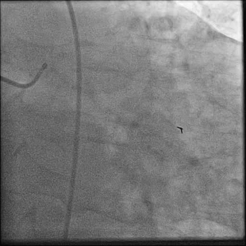
  • The first obtuse marginal had a sub-total long thrombotic lesion in the proximal vessel (Cine 1: Diagnostic Angiogram)
  • The RCA had a 70% proximal lesion and a 70% mid-vessel lesion

Procedure

  • Patient was anticoagulated with heparin
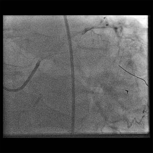
  • Post wiring, the thrombus grade was 3 (Cine 2: Post Wire)
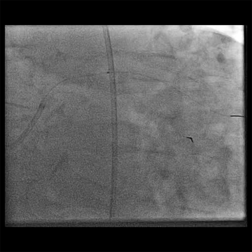
  • The obtuse marginal was treated with manual aspiration thrombectomy utilizing the FETCH2 Aspiration Catheter
  • A moderate amount of red thrombus was removed (Cine 3: FETCH2)
  • Post FETCH2, the thrombus grade was 2
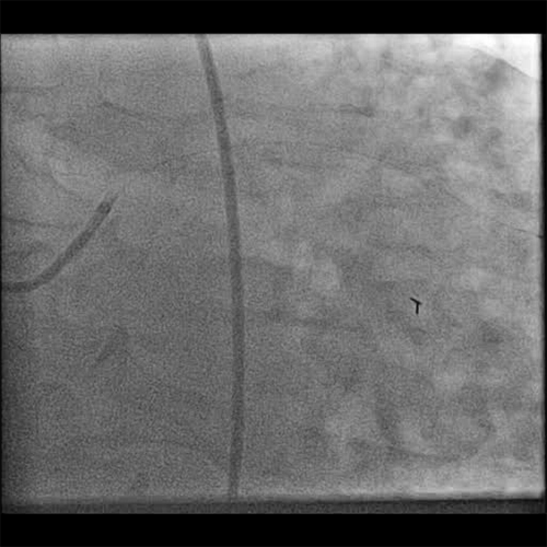
  • Angiographic improvement was observed post thrombectomy (Cine 4: Post FETCH2)

Definitive Treatment

Following PTCA with stenting and post-dilatation, the final thrombus grade was 0 with TIMI flow 3 (Cine 5: Definitive Treatment).

Physician Commentary

  • Percutaneous coronary intervention in thrombotic lesions may result in distal embolization, slow flow, and possibly re-infarction
  • Removal of thrombus prior to intervention may prevent these complications
  • Manual aspiration thrombectomy is a simple and effective method to treat patients with thrombotic coronary lesions
  • This case demonstrates how the removal of small-to-moderate thrombus with the FETCH2 catheter can facilitate the definitive treatment and reestablish flow
Study and cines courtesy of Jeffrey Chambers, MD, Metropolitan Heart and Vascular Institute, Minneapolis, MN. Results from case studies are not predictive of results in other cases. Results in other cases may vary.

Join Our Complex PCI Community

Stay up-to-date on the latest advances in complex PCI

Sign-up Today

Fetch2 Catheter

AngioJet System

Top