AngioJet™ Ultra Coronary Thrombectomy System Case Study

SPIROFLEX™ ANGIOJET thrombectomy of a native coronary artery in a patient presenting with a ST elevation myocardial infarction (STEMI) due to stent thrombosis.

Patient History

  • 52 year old male
  • Former smoker, diabetes, hypertension, hyperlipidemia
  • History of coronary artery disease
    • Prior stent to the LAD and D1
    • Prior stent to the circumflex
    • Prior stent to the RCA
    • Inferior MI secondary to stent thrombosis in January 2014 was treated with a second layer of stents in the proximal, mid, and distal RCA
    • Presented with a second stent thrombosis of the RCA in January 2015 which was treated with PTCA and stenting of the mid RCA (3rd layer)
  • Patient presented with chest pressure and inferior ST elevation approximately 3 months later
  • Patient was referred for coronary angiography

Diagnostic Angiogram

  • Initial angiogram showed TIMI 0 flow
  • Initial angiogram showed thrombus grade of 5
  • The left main and left anterior descending arteries had no significant lesions. The stents in the LAD and D1 were patent
  • The circumflex had no significant lesions. The stent in the first OM had a 50% lesion and the stents in the mid circumflex were patent
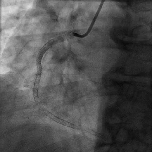
  • The RCA was occluded in the mid vessel (Cine 1: Occluded RCA Acute Stent Thrombosis)

Procedure

  • The patient was anticoagulated with heparin and Integrilin™
  • Vascular access was gained utilizing a 6 F JR4 guiding catheter and a 190 cm wire
  • Post wire TIMI flow was 0; post wire thrombus grade was 5
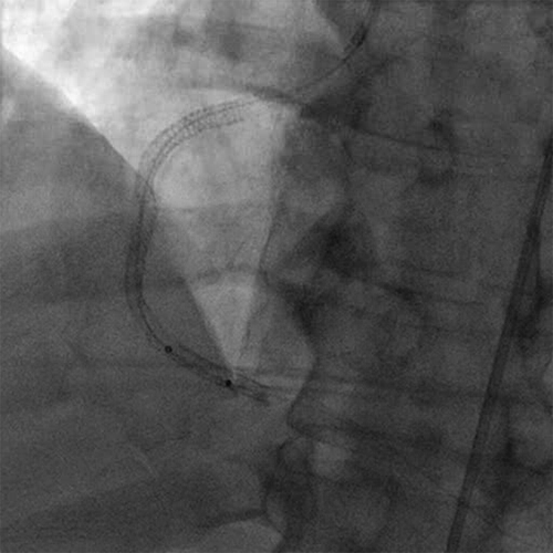
  • The RCA was treated with ANGIOJET thrombectomy utilizing the SPIROFLEX catheter
  • There was residual thrombus in the mid and distal stents (Cine 2: AngioJet)
  • Initially the mid and distal RCA into the posterior lateral artery were treated with multiple SPIROFLEX passes for a total of 27.5 seconds
  • A second series of runs was performed utilizing SPIROFLEX ANGIOJET for a total of 35 seconds
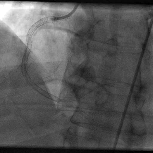
  • Significant angiographic improvement was observed post mechanical thrombectomy
  • Post ANGIOJET thrombus grade was 3 (Cine 3: Post AngioJet)

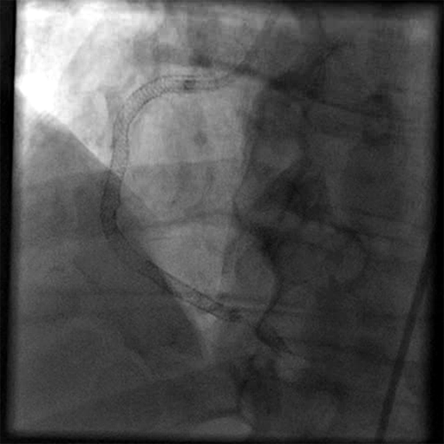
Definitive Treatment

Following PTCA with stenting, final TIMI flow was 3; final thrombus grade was 0 (Cine 4: Final Result Post Definitive Treatment).

Physician Commentary

As in this case, patients presenting with recurrent thrombosis over a long stented segment often have a large thrombus burden.

The ANGIOJET Thrombectomy System is ideal to treat patients with a considerable amount of large thrombus and in this patient the ANGIOJET successfully removed a significant thrombus from the mid and distal RCA making definitive treatment easier and reestablishing TIMI 3 flow.

This case demonstrates the utility of mechanical thrombectomy with the ANGIOJET SYSTEM in a patient presenting with a STEMI secondary to stent thrombosis and a substantial thrombus burden in the culprit vessel.

Study and cines courtesy of Jeffrey Chambers, MD, Metropolitan Heart and Vascular Institute, Minneapolis, MN. Results from case studies are not predictive of results in other cases. Results in other cases may vary.

Join Our Complex PCI Community

Stay up-to-date on the latest advances in complex PCI

Sign-up Today

AngioJet System

Top