Illustration of SpaceOAR Hydrogel

Advancing Radiation Therapy with hydrogel spacing

      
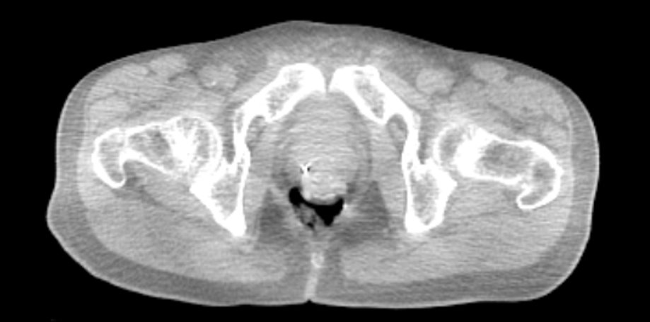
SpaceOAR Vue Hydrogel 
 
 
SpaceOAR Vue is a radiopaque hydrogel spacer that offers enhanced visiblitiy via CT scan, potentially helping physicians improve contouring accuracy and consistently position patients receiving prostate cancer radiation.1
                     
SpaceOAR Vue
Computed tomography image. Image provided courtesy of Gregory Merrick, MD.
What is the benefit of hydrogel spacing and a radiopaque perirectal spacer?
 
SpaceOAR Hydrogel is an absorbable hydrogel that temporarily creates space between the prostate and rectum, designed to reduce the radiation dose delivered to the rectum during prostate cancer radiation therapy.
 
The enhanced visibility on a CT scan is designed to help physicians improve contouring accuracy of the prostate and rectum, potentially leading to more accurate treatment plan creations when compared to SpaceOAR™ Hydrogel. This may reduce the overall treatment costs per patient, time required to fuse CT and MRI images, and the hospital staff’s time spent in obtaining MRI reimbursement authorisation. 

Potential Operational Benefits

With the improved visibility of SpaceOAR Vue Hydrogel on a CT scan, adepartment’s clinical workflow may be improved as the patient will not need a post-procedural MRI for treatment planning. 

 

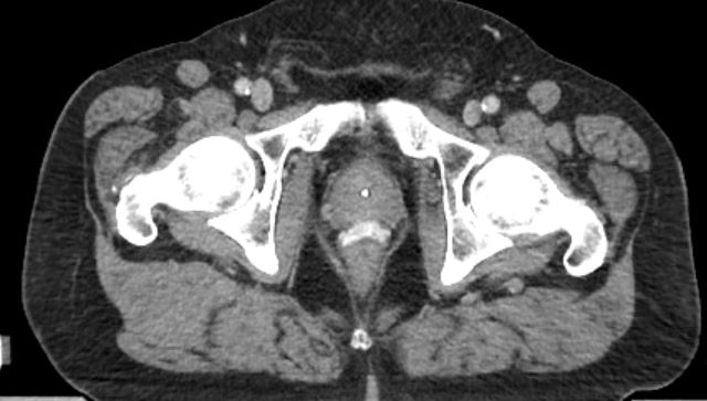
SpaceOAR Vue
kV Cone-beam computed tomography image.
First fraction. Dr. Jeff Michalski, MD (2020). Permission granted by Washington University Imaging.
hydrogel-spacing

Potential Clinical Benefits

For CT planning, physician-delineated prostate volume can be on average 15% smaller (under contouring) or 30% larger (over contouring) than the “true” prostate volume. With SpaceOAR Vue Hydrogel, you may be able to contour the prostate and rectum without the need for an additional MRI. This may also reduce any contouring inaccuracies, potentially leading to more accurate treatment plan creations. Accurate and consistent positioning of the patient from one fraction to the next is important to physicians, to ensure that treatment is delivered according to plan. CT radiopacity may provide an effective imaging option to MRI for patients with implanted metallic devices so you can care for a broader population of prostate cancer patients.

 

Hydrogel Spacing: Why?
 
 
Listen to radiologist Prof. Michelle McNicholas share her experience using SpaceOAR VueTM Hydrogel
Hydrogel Spacing: Why?
Clinical Evidence
 
 
Discover latest clinical study results around hydrogel spacing in different treatment modalities.
Clinical Evidence
     
        Interested in SpaceOAR Vue Hydrogel?
 
 
Contact us
What prostate cancer patients say
 
 
Patients treated with SpaceOAR Hydrogel report a higher quality of life after prostate cancer radiation 
treatment and experience minimal adverse side effects.1

Access patient information
website

contact us

Visit now

Need more
information?

contact us

 Contact us

Learn more about SpaceOAR Vue™ Hydrogel

contact us

Product information




References

1. Data on file with Boston Scientific.
2. Mariados N, Sylvester J, Shah D, et al. Hydrogel spacer prospective multicenter randomized controlled pivotal trial: Dosimetric and clinical effects of perirectal spacer application in men undergoing prostate image guided intensity modulated radiation therapy. Int J Radiat Oncol Biol Phys. 2015 Aug 1;92(5):971-7.

Disclaimer

SpaceOAR and SpaceOAR Vue Hydrogels are intended to temporarily position the anterior rectal wall away from the prostate during radiotherapy for prostate cancer and in creating this space it is the intent of SpaceOAR and SpaceOAR Vue Hydrogels to reduce the radiation dose delivered to the anterior rectum. SpaceOAR and SpaceOAR Vue Hydrogels contain Polyethylene Glycol (PEG). SpaceOAR Vue Hydrogel contains iodine. Prior to using these devices, please review the Instructions for Use for a complete listing of indications, contraindications, warnings, precautions and potential adverse events. As with any medical treatment, there are some risks involved with the use of SpaceOAR and SpaceOAR Vue Hydrogels. Potential complications associated with SpaceOAR and SpaceOAR Vue Hydrogels include, but are not limited to: pain associated with SpaceOAR and SpaceOAR Vue Hydrogels injection, pain or discomfort associated with SpaceOAR and SpaceOAR Vue Hydrogels, local inflammatory reactions, infection (including abscess), urinary retention, urgency, constipation (acute, chronic, or secondary to outlet perforation), rectal tenesmus/muscle spasm, mucosal damage, ulcers, fistula, perforation (including prostate, bladder, urethra, rectum), necrosis, allergic reaction (localized or more severe reaction, such as anaphylaxis), embolism (venous or arterial embolism is possible and may present outside of the pelvis, potentially impacting vital organs or extremities), syncope and bleeding. The occurrence of one or more of these complications may require treatment or surgical intervention. URO- 989811-AB MAR 2022

Products shown for INFORMATION purposes only and may not be approved or for sale in certain countries. Please check availability with your local sales representative or customer service.

SpaceOAR and SpaceOAR Vue Hydrogels are intended to temporarily position the anterior rectal wall away from the prostate during radiotherapy for prostate cancer and in creating this space it is the intent of SpaceOAR and SpaceOAR Vue Hydrogels to reduce the radiation dose delivered to the anterior rectum. As with any medical treatment, there are some risks involved with the use of SpaceOAR and SpaceOAR Vue Hydrogels. Potential complications associated with SpaceOAR and SpaceOAR Vue Hydrogels include, but are not limited to: pain associated with SpaceOAR and SpaceOAR Vue Hydrogels injection; pain or discomfort associated with SpaceOAR and SpaceOAR Vue Hydrogels; needle penetration of the bladder, prostate, rectal wall, rectum or urethra; injection of SpaceOAR and SpaceOAR Vue Hydrogels into the bladder, prostate, rectal wall, rectum or urethra; local inflammatory reactions; infection; injection of air, fluid or SpaceOAR and SpaceOAR Vue Hydrogels intravascularly; urinary retention; rectal mucosal damage, ulcers, necrosis; bleeding; and rectal urgency.

All images are the property of Boston Scientific. All trademarks are the property of their respective owners.

Top