FFR guided PCI with new COMET™ FFR Pressure guidewire reveals the true picture

As interventional cardiologists are being presented with more complex patients, FFR is an essential tool to use to effectively guide PCI. The COMETTM FFR pressure guidewire can be delivered in challenging anatomy and is designed to be disconnected and reconnected over the course of the procedure to deliver multiple devices.
Study and images courtesy of Clinica Montevergine, Mercogliano, Italy and Federico II University, Naples, Italy
Cioppa A. , Granata F. , Popusoi G. , Pucciarelli A. , Salemme L. , Verdoliva S. , Stabile E. , Tesorio T.

Key learnings

This case highlights:

  • New Asahi co-developed COMET™ FFR Pressure guidewire’s ability to assess and perform PCI with multiple devices and reconnections
  • How FFR guidance changes treatment strategy & alerts the operator to the need for further intervention in sub optimal PCI – where ischemia is still present

Patient History

  • 70 year old man with previous PCI to RCA
  • Baseline angiography showed diffuse disease and calcium of the mid LAD

Techniques Used

  • Pre dilation
  • Stenting
  • FFR pre and post treatment after each procedural step

COMET™ FFR Pressure Guidewire Characteristics

  • Asahi co-developed for true workhorse capabilities
  • Free rotation while steering and reliable re-connection 
  • Optical pressure sensor
  • Easy to use IVUS / FFR multimodality interface

Clarify treatment strategy with FFR

  • FFR with the new COMETTM Pressure guidewire (0.14’’ Boston Scientific / Asahi Intecc) was selected to interrogate the lesion.
  • COMET™ crossed the lesion easily and resting FFR showed a value of 0.76 (borderline value). Intracoronary adenosine was given and the value dropped to 0.59 (Figure 2)
Comet Case Report
Figure 2 – FFR with adenosine

Pre Dilatation Reveals Calcium

  • The COMET™ Pressure guide wire was disconnected and the lesion was pre dilated with a 2.5 x 20mm EMERGE semi compliant balloon.  Balloon inflation revealed significant calcium
  • Due to significant calcium, the vessel was then treated with a non-compliant 2.5 x 15mm NC Quantum Apex. Next, the COMET™ pressure guidewire was re-connected and the resting Pd/Pa was 0.80. (not pictured)

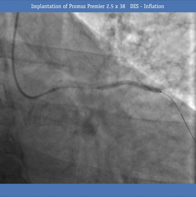
Stents Placed

  • Next, a Promus Premier 2.5 x38 DES was implanted (Figure 4) and inflated (Figure 5) and post dilated with a non-compliant balloon 2.5x20 mm 

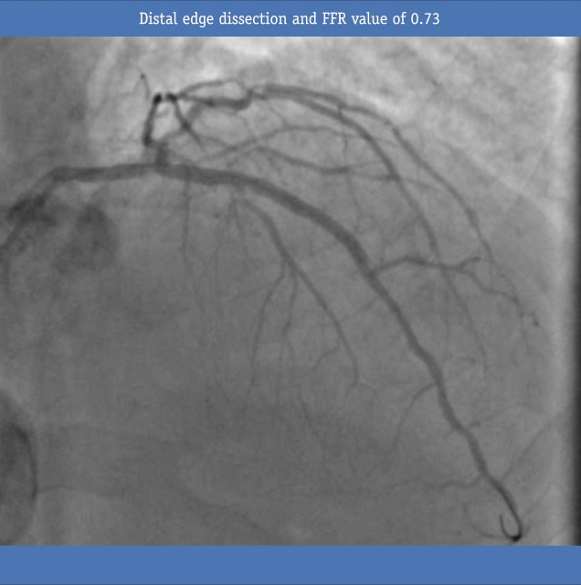
Post Stenting FFR performed, edge dissection discovered

  • COMET™ was reconnected and IC adenosine was administered, giving an FFR value of 0.73. After further analysis an edge dissection was discovered at the distal stent edge.
  • A Promus Premier 2.5 x 8mm DES was implanted to cover the distal edge dissection.  After stent implantation and post dilation with NC Quantum Apex FFR showed yet another FFR value under 0.80.

Post Stenting FFR performed, plaque shift discovered

  • Further analysis showed that the limited blood flow was caused by plaque shift due to the initial ballooning with long inflation times. To finish the case, the operator decided to implant the final 2.5 x12mm Promus Premier DES distal to the previous stents (Figure 7) with an FFR value of 0.84
Figure 7 - Implantation of distal Promus Premier 2.5 x 12  DES and FFR value of 0.84

Post Stenting FFR performed, non ischemic result

The final re-connection and FFR measurement showed 0.86 and the absence of ischemia in the distal left main.
Figure 9 - Final FFR reading of distal left main

SUMMARY

  • In this procedure, the use of FFR helped to clarify the continued presence of ischemia, requiring additional treatment methods.
  • It’s important to note that the last FFR value was negative for ischemia, demonstrating the efficacy of FFR to guide the entire procedure, achieving an optimal final result.
  • Numerous disconnections and reconnections of the new COMET™ FFR Pressure guidewire helped the operators to start, treat and perform final measurements without making the procedure longer and more expensive.
          
Results from case studies are not predictive of results in other cases.  Results in other cases may vary.

Join Our Complex PCI Community

Stay up-to-date via email on the latest advances in complex PCI.

Sign-up Today

Education & Training

Educare offers a comprehensive suite of education and training programs for Complex PCI.

Learn More

Resources

Download Case Study

Top