A new, workhorse like FFR Pressure Guidewire to simplify treatment strategy in a tortuous multivessel disease case

 

In this case, Dr. Jonathan Hill from Kings College Hospital in London, UK uses the new COMET™ FFR pressure guidewire to assess tortuous multivessel disease and optimize treatment strategy.

Key Learnings

This case highlights:

  • The need for a highly steerable FFR wire in highly tortuous vessels
  • Multiple reconnections are required for complex anatomy and multi vessel disease
  • Concomitant use of imaging on multimodality platform to help guide and optimize treatment strategy

Patient History

  • Female in 60s
  • NSTEMI with raised troponin
  • Ongoing pain
  • Highly tortuous anatomy, may be difficult to assess invasively

Case Challenges

  • Tortuosity: FFR wire may be difficult to deliver
  • Multiple vessels: PCI will require multiple FFR reconnections
  • Long lesion: Imaging may also be required

Techniques Used

  • NSTEMI intervention with the Synergy Stent in the LAD
  • Bystander vessel disease assessment via physiological and anatomical guidance with COMET™ FFR & OptiCross IVUS catheters on the integrated Polaris platform.
  • 3 vessel disease FFR performed

COMET™ FFR Pressure Guidewire Characteristics

  • Workhorse wire capability with near 1:1 torque
  • Reproducible and reliable reconnection
  • Seamless integration with imaging if required

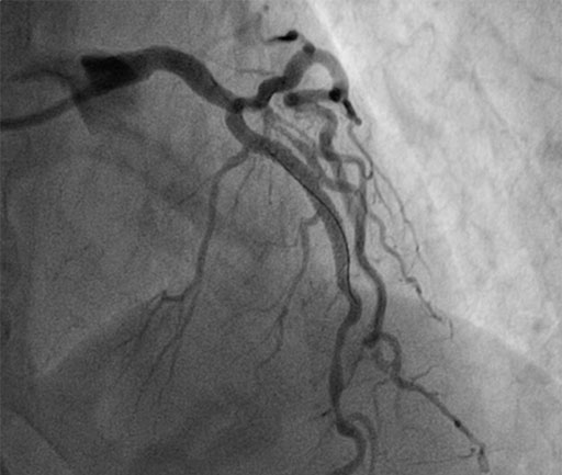
NSTEMI Intervention

  • SYNERGYTM stents to proximal LAD
  • Decision taken to assess 3 vessels with physiological guidance

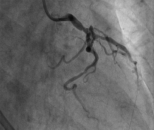
Proceed to FFR guided PCI of 3 bystander vessels: LAD, Cx & RCA

COMET™ FFR of LAD shows non ischemic value of 0.82, no need for additional stents
Comet Case Report
FFR of LAD shows non-significant 0.82

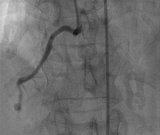
FFR of Cx

  • COMET™ FFR wire delivers through highly tortuous vessel
  • FFR of 0.88 (not pictured)
  • Patient asymptomatic & ischemic territory is small
  • No stents placed
     

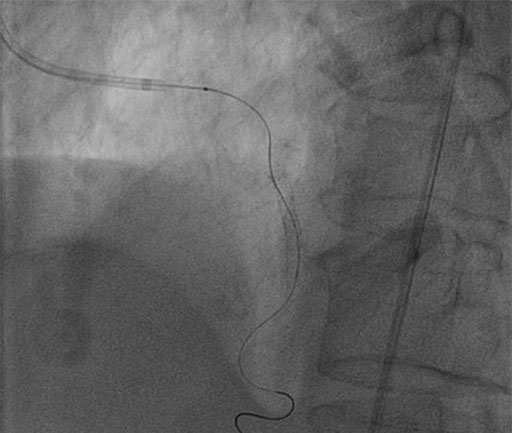
IVUS Guided RCA Assessment

  • IVUS reveals MLA of 3.2mm2
  • COMET™ wire re-connected
  • FFR of 0.88, PCI not necessary of RCA
Comet Case Report
non significant FFR 0.88

Key learnings

This case highlights:

  • The need for a highly steerable FFR wire in highly tortuous vessels
  • Multiple reconnections are required for complex anatomy and multi vessel disease
  • Concomitant use of imaging on multimodality platform to help guide and optimize treatment strategy
Results from case studies are not predictive of results in other cases.  Results in other cases may vary.

Join Our Complex PCI Community

Stay up-to-date via email on the latest advances in complex PCI.

Sign-up Today

Education & Training

Educare offers a comprehensive suite of education and training programs for Complex PCI.

Learn More
Top