AngioJet™

Ultra Thrombectomy System

Case Study:

Arterial Venous Fistula

Thrombectomy of left brachiocephalic AV fistula

Initial central venogram confirming patency of central veins.
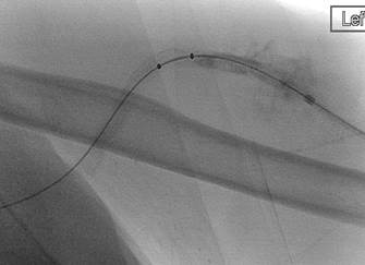
Underlying stenosis in cephalic arch responsible for thrombosis.
Fistulogram following 1st pass with an AngioJet DVX catheter (NB: no thrombolytics used).
Fistulogram post 2nd pass with DVX catheter. A further mid-AVF stenosis has been identified.
Stenting of the cephalic arch and cephalic fistula was required due to significant elastic recoil following angioplasty of these strictures.
An anastomotic stricture was also identified.
Post angioplasty of anastomotic stricture.
Thrombosed AV Fistula. AVF had previously undergone angioplasty to treat a stenosis in the mid-part.
Fistulogram following two passes with an AngioJet DVX Catheter (no thrombolytics used) and angioplasty of focal stenosis.
Recoil stenosis. A stent-graft was deployed across the stenosis to maintain patency with a good result. The patient dialysed via the fistula the same day.

Dr. R. Jones, Interventional Radiologist, Queen Elizabeth Hospital Birmingham, UK.

Thrombectomy of occlusion of left brachiocephalic fistula

Fistulogram demonstrating thrombotic occlusion of a left brachiocephalic AV fistula (Note: arterial reflux of contrast).
Post 1st pass with AngioJet DVX Catheter (no thrombolytics used).
Post 2nd pass with DVX Catheter and balloon angioplasty of underlying stenosis. No impedance to forward flow in AVF.
Once forward flow is established and stenosis treated, the residual thrombus should resolve.
Fistulogram 4 months later (a).
Fistulogram 4 months later (b).
Dr. R. Jones, Interventional Radiologist, Queen Elizabeth Hospital Birmingham, UK.

Thrombectomy of left brachial artery-axillary vein graft

Thrombosed AV graft with stenosis at venous anastomosis.
AngioJet DVX catheter in AV graft.
Imaging post-AngioJet System activation in venous side of AV graft.
Imaging post-AngioJet System activation in arterial side of AV graft.
Dr. R. Jones, Interventional Radiologist, Queen Elizabeth Hospital Birmingham, UK.
Top