Two surgeons in operating room

Economic value

Examine the economic advantages of using the EMBOLD™ Detachable Coil System compared to other coils.

Three coils, Any case.

Just three coils in the EMBOLD™ Coil System support virtually any case, providing a complete portfolio that maximise economic value. Together, the EMBOLD™ Fibered Coil, the EMBOLD™ Packing Coil, and the EMBOLD™ Soft Coil reduce the number of coils on the shelf by half, simplify workflow, and streamline inventory.

  • More efficient performance with multi-catheter compatibility, exceptional deliverability, and reduced inventory.
  • Fewer coils to occlude means fewer coils per case. Plus, a comprehensive size matrix for high efficiency.
  • Faster occlusion time for more optimised procedures.

Experience effortless efficiency

Create occlusions quickly with the Embold Coil System, using fewer coils overall to maximise procedural efficiency.1

Maximise occlusion power

The best-in-class thrombogenicity of the Embold Coil System requires less time and fewer coils to achieve accurate, consistent occlusion that maximises procedural efficiency. Offering the greatest metal volume of any .021” ID microcatheter compatible coils, the Embold Coil System consists of the most thrombogenic coils in their class.1  See how the Embold Coil System compares to other coil systems in a pre-clinical porcine model evaluating coils needed to achieve occlusion.2

5 vs 3 Coils

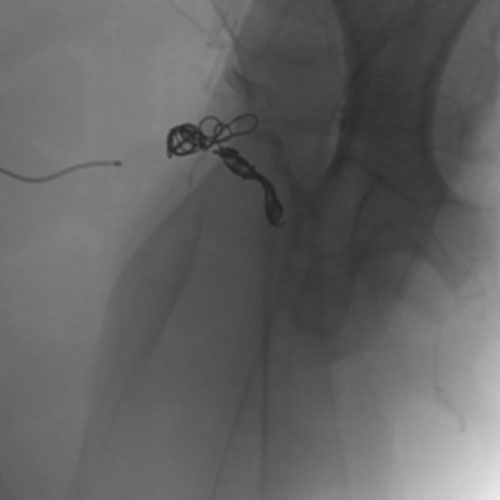
Embold Fibered Coil shown in left internal femoral artery Ruby Standard Coil shown in left internal femoral artery

Left Internal Femoral
Artery

5 Ruby Standard 6x20

Embold Fibered Coil shown in right internal femoral artery Embold Fibered Coil shown in right internal femoral artery

Right Internal Femoral
Artery

3 Embold Fibered Coil 6x20

5 vs 3 Coils

Ruby Standard Coil shown in iliac right artery Ruby Standard Coil shown in right internal iliac artery

Right Internal Iliac
Artery

5 Ruby Standard 6x20

Embold Fibered Coil shown in left internal iliac artery Embold Fibered Coil shown in left internal iliac artery

Left Internal Iliac
Artery

3 Embold Fibered Coil 6x20

3 vs 2 Coils

Ruby Standard Coil shown  in right subclavian medial Ruby Standard Coil shown in right subclavian medial

Right Subclavian
Medial

3 Ruby Standard 6x20

Embold Fibered Coil shown  in left subclavian medial Embold Fibered Coil shown in left subclavian medial

Left Subclavian
Medial

2 Embold Fibered Coil 6x20

Fewer coils to occlude

The Embold Coil System required about half the number of coils to occlude, likely due to its thrombogenicity and comprehensive size matrix with long lengths.  

 

Embold comparison graph

44% fewer 

Embold Fibered Coils than Penumbra Ruby Standard

Embold comparison graph

57% fewer 

Embold Soft Coils than Penumbra Ruby Soft

Embold compariton graph

65% fewer 

Embold Soft Coils than Medtronic Concerto

Faster occlusion time vs. competitors

Embold Fibered Coil Time to Occlusion2

Ruby Standard 20% more, Concerto 20% more, Azur CX 68% more.

Embold Packing Coil Time to Occlusion3

Penumbra POD Packing 30% more, Penumbra Packing LP 40% more.

Embold Soft Coil Time to Occlusion4

Mdtronic 30% more, Penumbra Soft 140% more, Penumbra LP 200% more, Balt Prestige Plus 250% more.
Filename
Embold-Pre-clinical-Comparative-Study-Data-Sheet-PI-1961702-AA.pdf
Size
969 KB
Format
application/pdf
Download the Pre-clinical Comparative Study

Proven efficiency

  • All three coils in the Embold Coil System accommodate .021” to .027” ID microcatheters, which provides procedural flexibility, simplified workflow, and streamlined inventory.
  • Embold’s handle-free detachment eliminates the need for an ancillary device, saving time and cost during the procedure.
  • With a Nitinol delivery system that resists kinking, the Embold Coil System is designed for exceptional deliverability and has a lower risk of premature detachment.


1. The testing was performed by or on behalf of BSC. Data on file.
2. Evaluation conducted in a pre-clinical porcine model. Coils were deployed every 3 minutes until complete occlusion was achieved. Complete occlusion was defined as TIMI Grade 0 (no antegrade flow beyond the point of occlusion) and assessed by the physician evaluator. Contralateral vessel pairs of comparable diameters were used for each assessment. For EMBOLD Soft comparisons, 3 replicates were conducted. For EMBOLD Fibered, 4 replicates were conducted. For Embold Soft comparisons, the longest coil length commercially available for each coil type was used: Concerto 4mm x 10cm/Embold Soft 4mm x 30cm and Ruby Soft 6mm x 30cm/Embold Soft 6mm x 60cm. For Embold Fibered, comparable coil lengths were evaluated to assess fiber vs. metal impact: Ruby Standard 6mm x 20cm/Embold Fibered 6mm x 20cm. med six times. Testing done at an independent facility. Bench Test study results may not necessarily be indicative of clinical performance.
3. In vitro bench model: testing results from bovine blood flow loop. Occlusion time is an average of a single 6 x 20 coil from each manufacturer performed six times. Testing done at an independent facility. Bench test or pre-clinical study results may not be necessarily indicative of clinical performance.
4. In vitro bench model: testing results from bovine blood flow loop. Occlusion time is an average of a single 30 cm coil from each manufacturer performed six times. Testing done at an independent facility. Bench Test study results may not necessarily be indicative of clinical performance.
5.In vitro bench model: testing results from bovine blood flow loop. Occlusion time is an average of a single 3 x 15 coil from each manufacturer, except for Concerto with two 3 x 8 coils, performed six times. Testing done at an independent facility. Bench Test study results may not necessarily be indicative of clinical performance.

Caution:
The law restricts these devices to sale by or on the order of a physician. Indications, contraindications, warnings, and instructions for use can be found in the product labelling supplied with each device or at www.IFU-BSCI.com. Products shown for INFORMATION purposes only and may not be approved or for sale in certain countries. This material not intended for use in France.