Together we shape the future of HPB

Every patient. ​ Multiple solutions.​

Patient case: Saul

Alan pain

Discover a patient’s gastrointestinal stromal tumour journey developed in collaboration with clinician experts.​

Start of symptoms​

Saul Rosenberg, a 60-year-old male, sought medical attention in the Emergency Department after experiencing a fainting episode accompanied by abdominal discomfort. Hematological evaluation identified anemia, leading to the administration of a blood transfusion. Saul was then referred for an esophagogastroduodenoscopy (EGD).​

​A lesion, measuring around 6 cm in width and displaying ulceration, was detected on the gastric wall of the stomach during the EGD examination. Furthermore, blood clots were observed within the stomach. The visual characteristics of the lesion raise suspicion of a gastrointestinal stromal tumor (GIST).

Gist

As a result, Saul is referred for an endoscopic ultrasound (EUS)-guided fine-needle biopsy (FNB) for further diagnostic evaluation.​

Saul’s diagnosis​

Alan worried

1. EUS-guided FNB​

Saul was consented to move forward with an EUS-guided FNB, that was performed with Acquire™ S. This allowed his gastroenterologist to further assess the lesion. A 51.9 x 47.9 mm hypoechoic, inhomogeneous lesion, which appears hypervascularised on Hi Flow, is observed. Unfortunately, an advanced, unresectable GIST is still suspected.​

EUS Guided FNB
EUS Guided FNB

AcquireTM S

A new stylet that requires less force to puncture, making entering the lesion easier, even through the stomach wall, and without compromising on tissue sample quality.​

Acquire S

2. Macroscopic on-site evaluation ​

The ESGE guidelines suggest two to three passes with an FNB needle. This number of passes in addition to the fanning technique will result in multiple parts of the lesion being assessed, hence increasing diagnostic accuracy. After each pass, the medical team in charge of Saul performed a macroscopic on-site evaluation (MOSE). This allowed for the quick and direct examination of the sample to confirm that enough tissue was collected, without requiring a pathologist on site.​

​After only two passes white tissue and only small amounts of blood were observed during MOSE, meaning the EUS-guided FNB was successful in acquiring enough tissue for histological analysis. The sample was then sent for further analysis.​

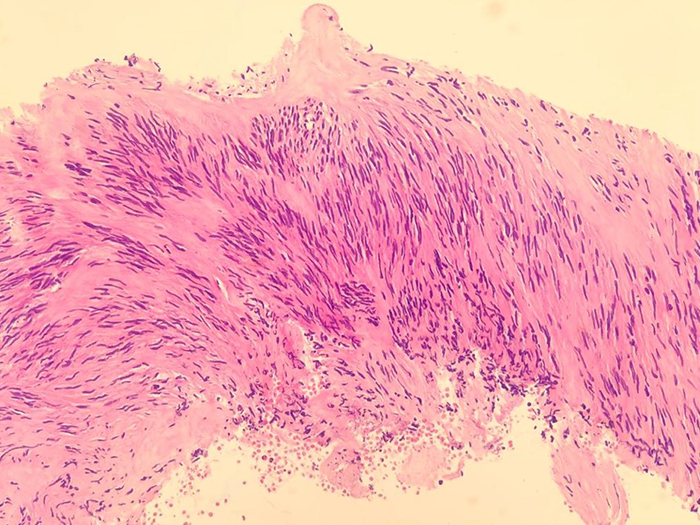
Biopsy sample
Biopsy sample

3. Next Generation Sequencing​

DNA Sequencing

Following discussion with the multidisciplinary team (MDT), including an oncologist, Saul’s medical team agreed to further investigate their initial diagnosis of an advanced, unresectable GIST by requesting Next Generation Sequencing (NGS) analysis of the sample. NGS approach is feasible for routine mutational analysis of GIST 1, so to allow early identification of the lesion’s specific molecular profile, which could influence the chosen therapy.​


4. Targeted therapy of GIST​

Tissue Sample Analysied

The pathologist reviewed the tissue sample and identified cells with spindled morphology, confirming the diagnosis of a GIST. NGS results revealed no KIT mutation on exon 11, which is the cause for approximately 80% of all GISTs.2 

 ​Instead, NGS analysis showed a mutation on PDGFr-A. This GIST’s genetic profile means Saul would not respond to the classic first line treatment.​


Tailoring therapy to Saul's needs​

Alan happy

The oncologist proceeded with a targeted therapy suitable for Saul’s tumour’s mutation profile. This treatment was given for 8 months until the disease was stable.​

Connect with us:


References

  1. Vanden Bempt I, et al. Comprehensive targeted next-generation sequencing approach in the molecular diagnosis of gastrointestinal stromal tumor. Genes Chromosomes Cancer. 2021 Apr;60(4):239-249.​

  2. Foo T, et al. The Management of Unresectable, Advanced Gastrointestinal Stromal Tumours. Target Oncol. 2022 Mar;17(2):95-110.​

CAUTION: The law restricts these devices to sale by or on the order of a physician. Indications, contraindications, warnings, and instructions for use can be found in the product labelling supplied with each device or at www.IFU-BSCI.com. Products shown for INFORMATION purposes only and may not be approved or for sale in certain countries. This material not intended for use in France.​​All images owned by Boston Scientific.​