Direxion™
Torqueable Microcatheters
Direxion™ Case library
Browse through our procedural videos
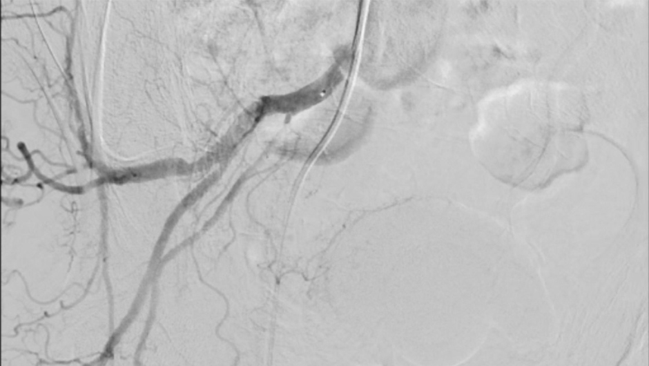
Prostatic Artery Embolization in Benign Prostatic Hyperplasia
Dr. Maurizio Grosso
Watch the video
Slotted nitinol hypotube design: specific handling requirements
The unique nitinol design and handling of the Direxion™ microcatheter introduces some unique watchouts:
Four Major Things to Keep in Mind:
- Do not introduce the microcatheter without guidewire support as this may cause damage to the proximal shaft of the catheter.
- Always verify tip response under fluoroscopy and the position of the proximal portion of the microcatheter, to avoid shaft coiling and/or fracture.
- If resistance is felt during rotation of the microcatheter and there is no visible tip response, stop and rotate in the opposite direction to release tension.
- Should the shaft fracture under too much tension, attempt to advance a guidewire through the fracture point and past the distal lumen, or retract the microcatheter into the guiding catheter. Then withdraw the system in a smooth motion, minimizing any rotation and torqueing.