Rotablator™

Rotational Atherectomy System

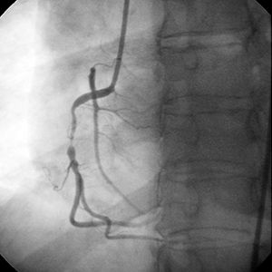
Suboptimal Outcome without Rotablator

Patient History

  • 53-year old female
  • Smoker
  • Family history of coronary artery disease (CAD)
  • Previous acute inferior myocardial infarction (MI) treated with t-PA, after stabilization, patient transferred for heart catheterization and possible intervention

Diagnosis 

  • Baseline angiography showed no significant disease in the left coronary system
  • Right coronary artery (RCA) presented a high grade stenosis with a long proximal segment of disease
  • Left ventricle function was normal

Procedure 

  • No significant calcification was appreciated at the time of intervention (especially in the region of the most critical narrowing)
  • A 2.75 mm × 23 mm stent was implanted
  • Angiography demonstrated sub-optimal stent deployment due to underappreciated calcium proximal to the region of the most critical narrowing

Post-Dilatation

  • 3.5 mm and 4 mm high pressure balloons were used post stent deployment
  • High pressure balloons were unsuccessful in expanding the stent

Physician Commentary 

This highly stenosed RCA contained a significant degree of calcium that could not be fully appreciated at the time of the angiography. It should be noted that the calcified segment was not in the region of the most critical narrowing. However, the calcified lesion was undilatable after stent deployment.

If pre-dilation of the vessel had been performed prior to stent deployment, the need for using the Rotablator System would have been made obvious, potentially avoiding the difficulty encountered in treating this vessel. 

Arriba