Sistemas de aterectomía rotacional

Sistemas de aterectomía rotacional ROTAPRO™ y ROTABLATOR™

El calcio afecta a los resultados a largo plazo

El calcio es un problema creciente en el tratamiento de la enfermedad coronaria. La evidencia angiográfica indica una alta presencia de calcificación de la lesión objetivo en pacientes sometidos a ICP.

Prevalencia de calcio y aterectomía rotacional

25 icon
Años de seguridad y eficacia clínica demostrada
1.1m
Procedimientos realizados en todo el mundo
*Basado en las estimaciones de ventas de Boston Scientific

El calcio afecta a los resultados a largo plazo

El calcio es un problema creciente en el tratamiento de la enfermedad coronaria. La evidencia angiográfica indica una alta presencia de calcificación de la lesión objetivo en pacientes sometidos a ICP
Rotablator - Calcium is a growing problem

El análisis combinado de los ensayos HORIZONS-AMI y ACUITY sugiere que los pacientes con calcio moderado/severo tienen una probabilidad significativamente mayor de muerte, TLR y MACE.

Ensayos HORIZONS-AMI y ACUITY
Resultados isquémicos a 1 año

HORIZONS-AMI & ACUITY Trials

Datos de 2016 del registro ARRIVE también muestran que el calcio moderado/severo está asociado con un mayor riesgo de muerte, TVR y MACE.
 

Registro ARRIVE
Resultados isquémicos a 1 año

ARRIVE Registry
Los pacientes con alta presencia de calcio tienden a ser mayores con una alta prevalencia de hipertensión, enfermedad renal, CABG previo e insuficiencia cardíaca congestiva.
Severe calcium claim

Los datos apoyan la aterectomía rotacional

En 2015, un gran registro multicéntrico evaluó los resultados de los pacientes que se  sometieron a una aterectomía rotacional (AR) en 9 de los principales hospitales  australianos durante un período de 8 años (16 410 ICP no AR, 167 ICP AR).3

En la cohorte AR:

  • Los pacientes eran más propensos a ser mayores con una mayor prevalencia de comorbilidades
  • Los pacientes eran más propensos a tener lesiones complejas de tipo B2 y C
  • El 37 % de los pacientes tenían una ICP fallida

Estos pacientes representaban la población más compleja de ICP donde ninguna otra terapia intervencionista era una opción.

Hallazgos del estudio: la aterectomía rotacional fue segura y efectiva en lesiones resistentes

Resultado clínico:

No hay diferencias significativas en el éxito angiográfico, disecciones, perforaciones o ausencia de reflujo

Resultados clínicos a 1 año:

No se observaron diferencias significativas en MACE o TLR*

Cuando se aislaron las lesiones tratadas con DES (excluyendo los stents metálicos sin revestimiento), el análisis del registro multicéntrico reveló una tasa de TLR del 2,9 %.

Resumen:

  • La  aterectomía rotacional es una herramienta importante para el tratamiento de lesiones complejas, con bajas complicaciones periprocedimiento y tasas de MACE.
  • A pesar de la población de pacientes significativamente más difícil, no hubo diferencias  significativas en las complicaciones durante el procedimiento.
  • Dados los excelentes resultados, una estrategia de aterectomía rotacional inicial para tratar el calcio tiene el potencial de:
    • Reducir el tiempo de intervención
    • Reducir el número total de intervenciones
    • Reducir los riesgos para los pacientes

ROTABLATOR en lesiones calcificadas

Estudio de caso del Dr. Price
La aterectomía rotacional permitió la modificación sustancial dela placa que permitió la predilatación exitosa del balón y la implantación del stent.

Historia clínica del paciente

  • Paciente masculino de 58 años
  • Antecedentes de enfermedad coronaria, diabetes, hipertensión, apnea obstructiva del sueño y enfermedad arterial periférica.
  • ICP previa en en arteria descendente anterior (LAD) y arteria circunfleja.
  • Presenta molestias en el pecho de la parte media a la izquierda, no radiante, con duración de varios minutos, provocado por el esfuerzo y aliviado con el descanso.
Angiograma inicial

Diagnóstico

  • El electrocardiograma mostró bradicardia sinusal con un infarto inferior previo.
  • La angiografía coronaria izquierda muestra óstiums separados de la arteria descendente anterior y circunfleja.
  • La arteria circunfleja tenía un flujo de TIMI-2. Hubo una estenosis subtotal de alto grado en su parte proximal.
  • Con alguna dificultad, se utilizó un catéter guía adicional de 6F para intubar la arteria circunfleja.
Barrido inicial de IVUS

Barrido inicial del IVUS

  • Se pasó una guía coronaria de alto rendimiento a través de la lesión de forma satisfactoria. Se intentó la predilatación con un balón semicompliante RX de 2,0 x 12 mm, pero no tuvo éxito porque no pudo atravesar la lesión.
  • La predilatación fue satisfactoria con un balón APEX™ Push de 1,5 x 12 mm; el angiograma posterior mostró la restauración del flujo de TIMI-3.
  • Posteriormente, se realizó una predilatación adicional con un balón de 2,5 x 12 mm NC QUANTUM APEX™ MR a alta presión. Hubo una clara expansión del balón bajo fluoroscopia.
  • La ecografía intravascular mostró un vaso muy estrechado con una sustancial placa fibro-cálcica. Dados estos hallazgos, se tomó la decisión de continuar con ROTABLATOR.
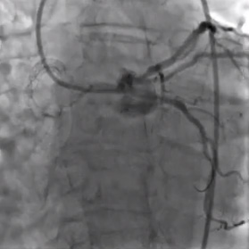
Angiogram Post 1.5 mm ROTABLATOR

Angiograma posterior a ROTABLATOR de 1,5 mm

  • La guía original se intercambió con un balón OTW por una guía ROTAWire™ Floppy.
  • Se pasó una oliva de 1,5 mm y se realizó una aterectomía rotacional. A esto le siguió una dilatación adicional a alta presión con un balón NC QUANTUM APEX con una baja expansión del balón.
  • La angiografía posterior mostró un flujo de TIMI-3 sin disecciones, pero aun así una estenosis residual significativa.
6 F to 8 F Guide Exchange Part 1
6 F to 8 F Guide Exchange Part 2

Intercambio de catéter guía 6F por 8F

  • Dada la necesidad de una aterectomía rotacional adicional con una oliva más grande, se tomó la decisión de realizar un cambio de guía por un catéter guía de 8F
  • La guía ROTAWire Floppy se intercambió por una guía Extra Support de 300 cm usando un sistema OTW.
  • El catéter guía 6F y el introductor se extrajeron usando la guía extra support.
  • Se introdujo un introductor y un catéter guía 8F a través de la guía extra support .
  • La guía extra support se intercambió por la guía ROTAWire Extra Support con intención de realizar una aterectomía dentro de la placa.
Barrido IVUS posterior a DES

Barrido IVUS posterior a DES

  • A continuación, se utilizó ROTABLATOR con una oliva ROTABLATOR de 2,0 mm.
  • La lesión fue evaluada y predilatada a alta presión con un balón NC QUANTUM APEX de 3,25 x 15 mm.
  • Se implantó un stent DES de 3,5 x 16 mm con una expansión excelente guiada por fluoroscopia.
  • La ecografía intravascular post-stent
Comentario del médico

Estudio e imágenes cortesía del Dr. Price

  • La posdilatación se realizó a alta presión con un balón NC QUANTUM APEX de 3,75 x 12 mm.
  • La angiografía final mostró flujo de TIMI-3, sin disecciones y sin estenosis residual en la arteria circunfleja.

Resultado*

  • La aterectomía rotacional permitió la modificación sustancial de la placa que permitió una predilatación del balón e implantación exitosa del stent.

Comentario del médico

"Creo que este caso demuestra que es importante tener una aterectomía rotacional en su kit de herramientas para los casos en los que no se obtiene una predilatación adecuada o una implantación de stent. En este caso en particular, había una placa fibro-cálcica muy agresiva que era realmente resistente incluso a la dilatación a alta presión con un balón no compliante. Pudimos hacer una aterectomía rotacional, lo cual puede salvarte la vida cuando te encuentras en una situación como esta".

MTC banner
Arriba