AngioJet™

Sistema de trombectomía Ultra

Caso práctico:

Trombosis venosa profunda

Trombectomía de TVP masiva

Paciente de sexo femenino de 35 años de edad con sarcoma endometrial metastásico y la pierna izquierda muy hinchada.
Pierna izquierda muy hinchada, a pesar de llevar medias de compresión de clase 2 hasta la altura del muslo. Obsérvese la bolsa del catéter de drenaje para nefrostomía.
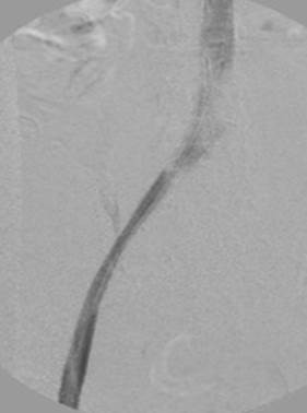
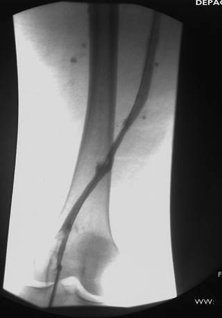
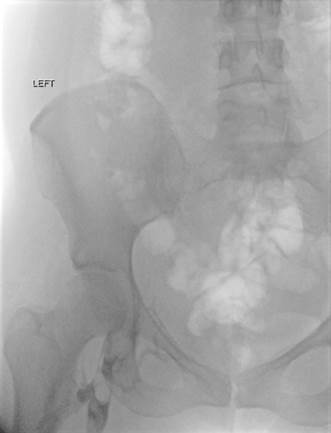
Venograma de la pierna izquierda donde se muestra un trombo oclusivo en las venas profundas más visualizadas.
Venograma de la pierna izquierda donde se muestra un trombo oclusivo en las venas profundas más visualizadas.
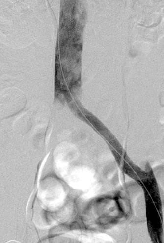
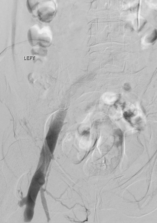
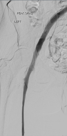
Venograma en posición de decúbito prono de la rama ilíaca izquierda que indica una estenosis causada por el tumor que comprime la uretra y la vena ilíaca externa izquierda.
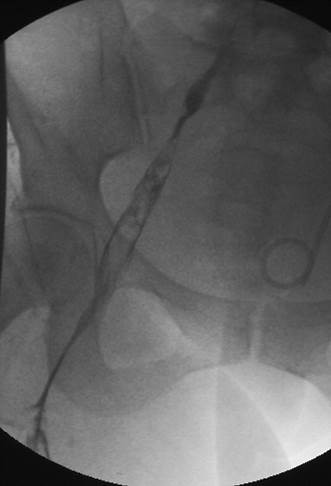
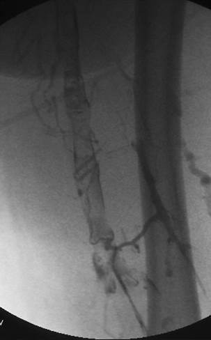
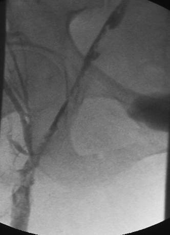
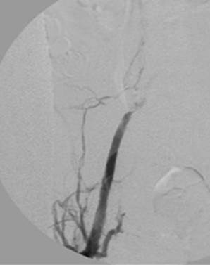
Eliminación razonable del trombo en las venas ilíacas tras una sola pasada del catéter DVX de AngioJet (25 mg de tPA en 250 cc de solución salina normal).
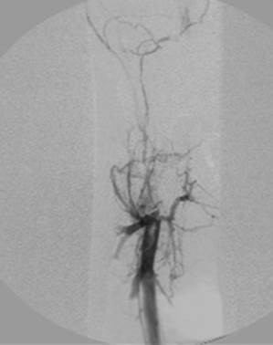
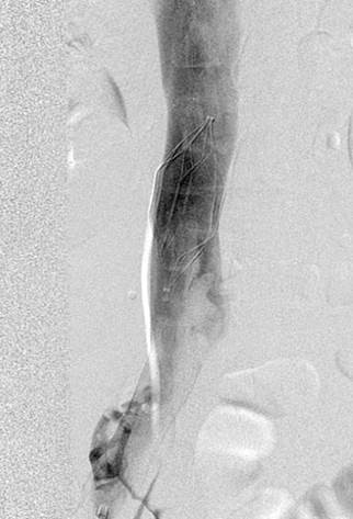
Venograma final tras la aspiración con catéter grande y tratamiento de la estenosis subyacente (debido a la compresión extrínseca del tumor) con un stent de 16 mm con el balón inflado a 12 mm.
Tiempo total: <90 minutos. Flujo interno perfecto de la parte posterior de la rodilla a la vena cava inferior (VCI).
Tras cuatro meses y medio; capacidad para caminar normal, sin hinchazón.
Gerard O’Sullivan, University College Hospital, Galway, Irlanda (2009)

Trombectomía de TVP bilateral

Hombre de 76 años de edad con hinchazón en ambas extremidades inferiores y filtro en la VCI anterior. Reemplazo total de cadera izquierda recientemente extraído (infectado) y reposo en cama durante 2 meses. Probable TVP en la pierna derecha (6 semanas) y trombo en la vena ilíaca izquierda (6 días).
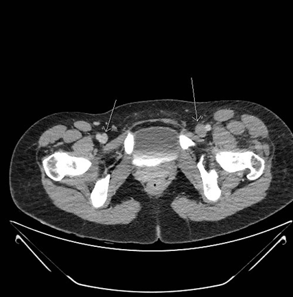
Venografía axial por CT donde se muestra un trombo agudo que va del filtro de VCI  hasta la vena ilíaca interna y externa derecha y la vena ilíaca común izquierda.
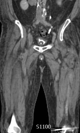
Venografía coronaria por CT donde se muestra un trombo agudo que va del filtro de VCI hasta la vena ilíaca interna y externa derecha y la vena ilíaca común izquierda.
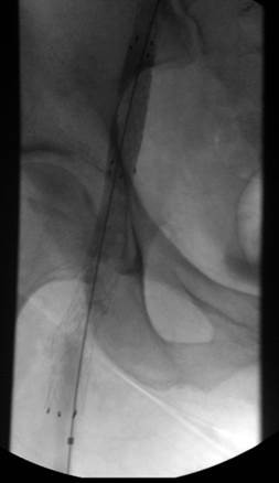
Venograma en posición de decúbito prono donde se muestra un trombo agudo oclusivo que va de la vena poplítea derecha hasta el filtro de VCI.
Venograma en posición de decúbito prono donde se muestra un trombo agudo oclusivo que va de la vena poplítea derecha hasta el filtro de VCI.
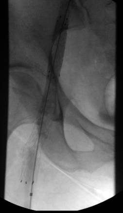
Venografía posterior a la trombólisis venosa bilateral y la trombectomía; eliminación del trombo tras una sola pasada del catéter DVX de AngioJet (técnica Rapid Lysis; 25 mg de tPa @1 mg/ml + 225 cc de solución salina normal = solución de 250 cc).
Venografía posterior a la trombólisis venosa bilateral y la trombectomía; eliminación del trombo tras una sola pasada del catéter DVX de AngioJet (técnica Rapid Lysis; 25 mg de tPa @1 mg/ml + 225 cc de solución salina normal = solución de 250 cc).
Tras la inserción del catéter DVX de AngioJet, la aspiración y la colocación de stents de 14 mm x 150 mm. Resulta en un trombo en la pierna derecha de aproximadamente 2 meses de antigüedad. Se requiere más ATP de la vena ilíaca externa derecha.
Gerard O’Sullivan, University College Hospital, Galway, Irlanda (2009)

Trombectomía de TVP

Mujer de 44 años de edad con hinchazón aguda en la pierna izquierda.

Plan de tratamiento:

  • Acceso poplíteo izquierdo
  • Trombectomía mediante AngioJet en las regiones afectadas
  • Lesión de May-Thurner por stent
Exploración ecográfica con doppler a color que muestra el trombo de la vena femoral común izquierda.
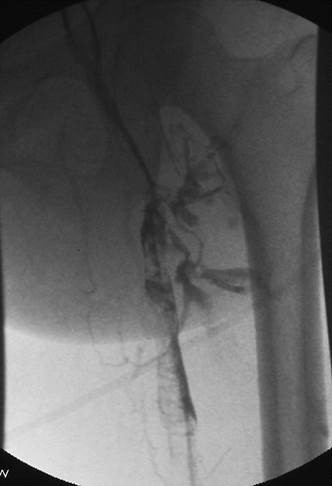
Acceso poplíteo; vista de posición decúbito prono de un trombo oclusivo agudo en la vena poplítea izquierda y en la vena femoral.
Acceso poplíteo; vista de posición decúbito prono de un trombo oclusivo agudo en la vena femoral izquierda y en las venas ilíacas.
Vena femoral izquierda duplicada, vena femoral común izquierda y VCI de la vena ilíaca externa tras trombectomía mediante el catéter Solent de AngioJet; 25 mg tPa en 250 cc de solución salina (Rapid Lysis) y stent de 14 mm.
Vena femoral izquierda duplicada, vena femoral común izquierda y VCI de la vena ilíaca externa tras trombectomía mediante el catéter Solent de AngioJet; 25 mg tPa en 250 cc de solución salina (Rapid Lysis) y stent de 14 mm.
Stent de 14 mm implantado.
La pierna izquierda muestra una hinchazón considerablemente inferior tras el tratamiento.
Gerard O’Sullivan, University College Hospital, Galway, Irlanda (2009)

Trombectomía de TVP

Paciente de cáncer de colon con hinchazón aguda de la pierna izquierda.
Vista de posición decúbito prono de trombo agudo en la vena femoral común izquierda y ausencia de flujo en las venas ilíacas.
Vista de posición decúbito prono de trombo agudo en la vena femoral común izquierda y ausencia de flujo en las venas ilíacas.
Vista de posición decúbito prono de la pierna izquierda tras la trombectomía mediante el catéter DVX de AngioJet utilizando la técnica Rapid Lysis (25 mg de tPa en 250 cc de solución salina natural). Desaparición del trombo, oclusión subyacente de la vena ilíaca común izquierda revelada.
Primer plano de los stents.
Primer plano de los stents.
El angiograma tras completar el procedimiento revela un rápido flujo a la VCI tras la inyección en la vena femoral.
Gerard O’Sullivan, University College Hospital, Galway, Irlanda (2009)
TVP iliofemoral izquierda con síndrome de May-Thurner.
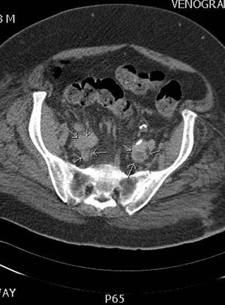
Venografía por CT de estenosis crítica de la vena ilíaca común izquierda (síndrome de May-Thurner).
Venografía de la vena femoral superficial antes del tratamiento.
Venografía de las venas pélvica y femoral comunes antes del tratamiento.
Técnica Rapid Lysis mediante Solent Omni con Alteplase en la vena femoral superficial.
Resultado tras la activación de Solent Omni durante 190 s (técnica Rapid Lysis).
Técnica Rapid Lysis mediante Solent Omni con Alteplase en la vena ilíaca externa.
Resultado tras la activación de Solent Omni durante 190 s (técnica Rapid Lysis).
Vena femoral superficial tras trombólisis complementaria dirigida por catéter con Alteplase durante 18 horas.
Estenosis crítica de la vena ilíaca común con daños colaterales (síndrome de May-Thurner).
Flujo saliente libre sin daños colaterales tras la implantación del stent en la vena ilíaca común.
Dr. Ivan Vulev, Departamento de Radiología Diagnóstica e Intervencionista, Instituto Nacional de Enfermedades Cardiovasculares, Bratislava, Eslovaquia (2014)

Trombosectomía de TVP iliofemoral masiva y colocación de stent para síndrome de May-Thurner

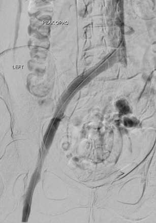
Paciente de 44 años de edad y sexo femenino con TVP iliofemoral izquierda masiva tras histerectomía por varios fibromas. Venograma en posición decúbito supino de la vena femoral común izquierda antes de la inserción del filtro de vena cava temporal que indica un trombo que protruye de la vena ilíaca común izquierda.
Cavograma tras colocación del filtro temporal en la vena cava inferior donde se muestra el trombo que protruye y se extiende desde la vena ilíaca común izquierda.
Venograma en posición decúbito prono de la vena femoral izquierda donde se muestra un trombo masivo dentro del lumen de la vena.
Venograma en posición decúbito prono donde se muestra un trombo que obstruye las venas ilíaca y femoral.
Venografía de la vena femoral tras trombectomía fármaco-mecánica (PMT) mediante la técnica Power Pulse Delivery (se usaron 15 ml de una solución de 50 mg de tPA  en 500 ml de solución salina natural) seguida por 2 pasadas con el catéter DVX de AngioJet.
Venografía en posición decúbito supino tras introducir 2 veces el catéter DVX de AngioJet. Vena ilíaca externa y vena femoral común del paciente. Estenosis severa de la vena ilíaca común.
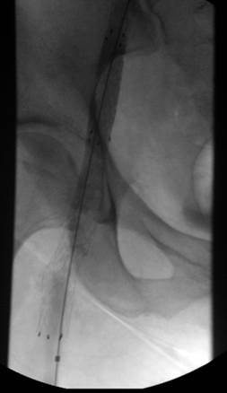
Venografía de la vena ilíaca común izquierda tras colocar un stent de 12 x 100 mm utilizando un ATP de 10 x 60 mm. Duración total de la intervención: 105 minutos.
Venografía final tras la trombectomía fármaco-mecánica (PMT), la colocación de un stent en la vena ilíaca común y la retirada del filtro de VCI.
Karlo Novacic, Departamento de Radiología Intervencionista, Hospital Clínico Merkur, Zagreb, Croacia (2013).

TVP iliofemoral aguda en la pierna izquierda tratada con el sistema de trombectomía AngioJet™ y endoprótesis Wallstent Uni™.

Mujer de 27 años de edad. Factor de riesgo: pastilla anticonceptiva. Refiere 7 días con dolor en la pierna y descoloración. Empeoramiento de la hinchazón. Tras la examinación, se detecta una diferencia de tamaño de 6 cm entre los muslos.
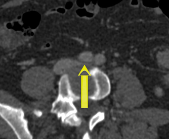
Venografía por CT de la VFC izquierda que demuestra una baja atenuación y la hinchazón de la vena femoral común izquierda en comparación con el lado derecho normal.
Angiograma inicial de la  VFC izquierda donde se indica una TVP considerable (decúbito prono).
Solent de AngioJet utilizado en el modo de Rapid Lysis isovolumétrico con 20 mg de tPA en 180 cc de solución salina normal.  Dos pasadas en total durante 8 minutos.
Venas ilíacas izquierdas tras AngioJet. Resultado excelente que muestra la permeabilidad de los vasos.
Tras AngioJet, la vena ilíaca quedó completamente sin trombos y se aprecia una clara indicación de estenosis venosa (síndrome de May-Thurner).
Wallstent de 14/90 mm  con el balón inflado a 14 mm con 14 atm. Posición y expansión satisfactorias.
Las exploraciones finales demuestran un excelente flujo en el sistema ilíaco y femoral tras la trombectomía venosa con  AngioJet  y la colocación de Wallstent.
Las exploraciones finales demuestran un excelente flujo en el sistema ilíaco y femoral tras la trombectomía venosa con  AngioJet  y la colocación de Wallstent.
Gerard O’Sullivan, University College Hospital, Galway, Irlanda  (abril de 2015).
Parte superior