AngioJet™

Sistema de trombectomía Ultra

Caso práctico:

Embolia pulmonar

Trombectomía de embolia pulmonar de alto riesgo

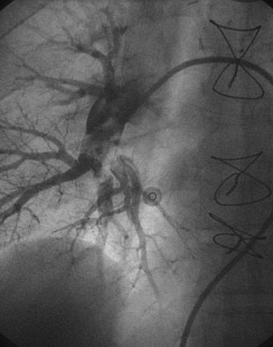
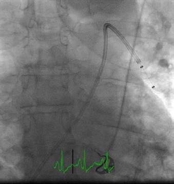
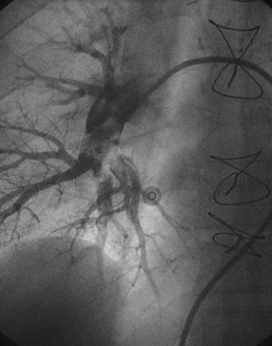
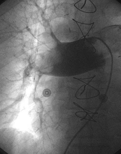
Paciente con hemorragia gastrointestinal activa que impide el uso de trombolíticos. Angiografía de la arteria pulmonar principal (más selectiva a la derecha) realizada con un catéter en espiral de 6 F en ángulo, que muestra la presencia de un trombo de gran tamaño dentro de las arterias pulmonares izquierda y derecha, y en las respectivas bifurcaciones lobares.

 

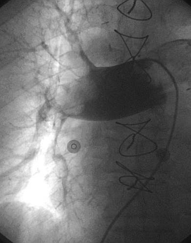
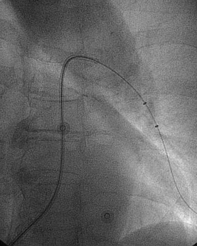
Se efectuó una trombectomía reolítica con el catéter PE de AngioJet® a través de una guía de angioplastia hidrófila de 0,035’’, partiendo de la arteria pulmonar izquierda y la bifurcación lobular inferior. La intervención se repitió en la arteria pulmonar derecha y en las bifurcaciones lobulares correspondientes. La intervención se detuvo debido a una bradiarritmia. Además, el tiempo de activación total se encontraba cerca del  límite recomendado (4 minutos).
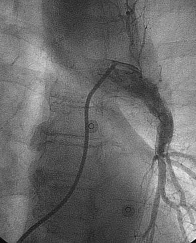
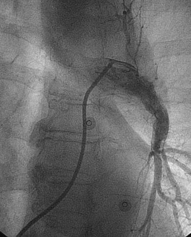
A pesar del gran volumen de trombo eliminado, el angiograma final solo muestra una leve mejora de la obstrucción. Sin embargo, el objetivo del tratamiento es simplemente restaurar el flujo y no eliminar el trombo por completo, ya que incluso el modesto resultado de este angiograma estuvo acompañado de una considerable recuperación hemodinámica y de intercambio gaseoso.
Rita Faria, Centro hospitalario Gaia, Departamento de Cardiología, Vila Nova de Gaia, Portugal.

Trombectomía de arteria pulmonar izquierda

Angiografía de la arteria pulmonar izquierda realizada con un catéter en espiral de 6 F en ángulo, que demuestra la presencia de un trombo de gran tamaño dentro de la arteria pulmonar izquierda y en las bifurcaciones lobulares intermedia e inferior.
Se efectuó una trombectomía reolítica con el catéter PE de AngioJet® mediante un catéter guía multifunción de 8 F a través de una guía de angioplastia hidrófila de 0,035’’.
Angiografía pulmonar izquierda realizada tras una trombectomía reolítica en la que se muestra la mejora del índice de perfusión y obstrucción.
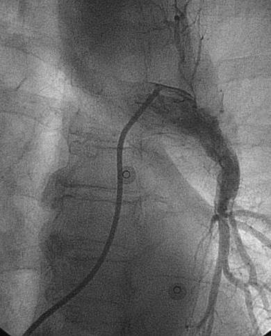
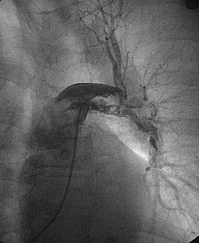
Angiografía de la arteria pulmonar izquierda realizada con un catéter en espiral de 6 F en ángulo, que demuestra la presencia de un trombo dentro de la arteria pulmonar izquierda y en las bifurcaciones lobulares intermedia, inferior y superior.
Se efectuó una trombectomía reolítica con el catéter PE de AngioJet® mediante un catéter guía multifunción de 8 F y una guía de angioplastia hidrófila de 0,035’’.
Angiografía pulmonar izquierda realizada tras una trombectomía reolítica en la que se muestra la mejora del índice de perfusión y obstrucción.

Massimo Margheri, Vecchio Sabine, Departamento de Cardiología, Ravenna, Italia

Trombectomía de la arteria pulmonar derecha

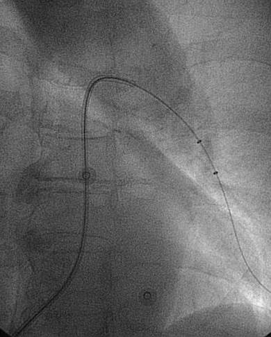
Angiografía de la arteria pulmonar derecha realizada con un catéter en espiral de 6 F en ángulo, que demuestra la presencia de un trombo de gran tamaño dentro de la arteria pulmonar derecha y en las bifurcaciones lobulares intermedia, inferior y superior.
Se efectuó una trombectomía reolítica con el catéter PE de AngioJet® mediante un catéter guía multifunción de 8 F y una guía de angioplastia hidrófila de 0,035’’, en las bifurcaciones lobulares intermedia e inferior.
Angiografía pulmonar derecha realizada tras una trombectomía reolítica en la que se muestra la mejora de los índices de perfusión y obstrucción.
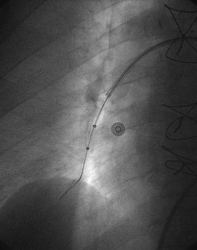
Angiografía de la arteria pulmonar derecha realizada con un catéter en espiral de 6 F en ángulo, que demuestra la presencia de un trombo dentro de la arteria pulmonar derecha y en las bifurcaciones lobulares inferiores.
Se efectuó una trombectomía reolítica con el catéter PE de AngioJet® mediante un catéter guía multifunción de 8 F y una guía de angioplastia hidrófila de 0,035’’.
Angiografía pulmonar derecha realizada tras una trombectomía reolítica en la que se muestra la mejora de los índices de perfusión y obstrucción.
Massimo Margheri, Vecchio Sabine, Departamento de Cardiología, Ravenna, Italia
Parte superior