AngioJet™

Sistema de trombectomía Ultra

Caso práctico:

Fístula arteriovenosa

Trombectomía de fístula AV braquiocefálica izquierda

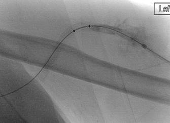
Venograma central inicial que confirma la permeabilidad de las venas centrales.
Estenosis subyacente en el arco de la vena cefálica responsable de la trombosis.
Fistulograma tras la primera pasada con un catéter DVX de AngioJet (N. B.: no se usaron trombolíticos).
Fistulograma tras la segunda pasada con un catéter DVX. Se ha identificado otra estenosis hacia la mitad de la FAV.

Trombectomía de SFA ocluida

Se precisó la colocación de stents en la fístula cefálica y en el arco de la vena cefálica debido a un retroceso elástico considerable tras la angioplastia de estas constricciones.
También se identificó una constricción anastomótica.
Tras la angioplastia de la constricción anastomótica.
Fístula AV con trombosis. Se había realizado una angioplastia previa en la FAV para tratar una estenosis en la sección intermedia.
Fistulograma tras dos pasadas con un catéter DVX de AngioJet (no se usaron trombolíticos) y una angioplastia de la estenosis focal.
Estenosis de retroceso. Se desplegó un injerto de stent a lo largo de la estenosis para mantener la permeabilidad con buenos resultados. El paciente se sometió a diálisis a través de la fístula el mismo día.

Dr. R. Jones, radiólogo intervencionista, Queen Elizabeth Hospital Birmingham (Reino Unido)

Trombectomía de oclusión de fístula braquiocefálica izquierda

Fistulograma que demuestra la oclusión trombótica de una fístula AV braquiocefálica izquierda (nota: reflujo arterial de contraste).
Tras la primera pasada con el catéter DVX de AngioJet (no se usaron trombolíticos).
Tras la segunda pasada con el catéter DVX y la angioplastia con balón de la estenosis subyacente. Sin impedancia para el flujo de avance en la FAV.
Una vez que se establezca el flujo de avance y se trate la estenosis, los trombos residuales deberían resolverse.
Fistulograma 4 meses después (a).
Fistulograma 4 meses después (b).
Dr. R. Jones, radiólogo intervencionista, Queen Elizabeth Hospital Birmingham (Reino Unido)

Trombectomía de injerto de vena axilar-arteria braquial izquierda.

Injerto AV con trombosis y con estenosis en anastomosis venosas.
Catéteres DVX de AngioJet en injerto AV.
Imagen tras la activación del sistema AngioJet en el lado venoso del injerto AV.
Imagen tras la activación del sistema AngioJet en el lado arterial del injerto AV.
Dr. R. Jones, radiólogo intervencionista, Queen Elizabeth Hospital Birmingham (Reino Unido)
Parte superior