AngioJet™

Sistema de trombectomía Ultra

Casos prácticos

Trombosis venosa profunda

Trombectomía de TVP masiva

 

Trombosis venosa profunda

Trombectomía de TVP bilateral

 

Trombosis venosa profunda

Trombectomía de TVP

 

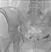
Trombosis venosa profunda

TVP iliofemoral izquierda con síndrome de May-Thurner

 

Trombosis venosa profunda

Trombosectomía de TVP iliofemoral masiva y colocación de stent para síndrome de May-Thurner

 

Isquemia aguda de las extremidades

TPV iliofemoral aguda en la pierna izquierda tratada con el sistema de trombectomía AngioJet™ y endoprótesis Wallstent Uni™

 

Embolia pulmonar

Trombectomía de embolia pulmonar de alto riesgo

 

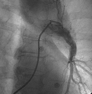
Fístula arteriovenosa

Trombectomía de arteria pulmonar

 
 

Fístula arteriovenosa

Trombectomía de oclusión de fístula braquiocefálica izquierda

 

Fístula arteriovenosa

Trombectomía de fístula AV braquiocefálica izquierda

 

Fístula arteriovenosa

Trombectomía de injerto de vena axilar-arteria braquial izquierda.

 

Isquemia aguda de las extremidades

Trombectomía de arteria poplítea izquierda; Oclusión aterotrombótica.

 
Parte superior