SpaceOAR™ Hydrogel

Prostata Abstandhalter für die Strahlentherapie

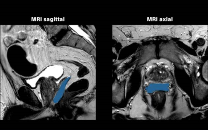
SpaceOAR Hydrogel ist eine resorbierbare, injizierbare Substanz, die bei Prostatakrebspatienten, die sich einer Strahlentherapie unterziehen, einen Abstand zwischen Rektum und Prostata schafft.

Weiterführende Informationen

Bestellinformationen

Produkt Bestellnummer
SpaceOAR System SO-1010

Achtung:
Gemäß US-Bundesgesetz darf dieses Produkt nur von einem Arzt oder auf seine Anordnung hin verkauft werden.

ACHTUNG:
Aufgrund gesetzlicher Vorschriften dürfen diese Produkte nur durch einen Arzt oder in dessen Auftrag verkauft werden. Indikationen, Kontraindikationen, Warnhinweise und Anleitungen zum Gebrauch sind der mitgelieferten Packungsbeilage zu entnehmen. Gebrauchsanweisungen nur für Länder mit entsprechender Produktzulassung durch die.

Gesundheitsbehörden. Dieses Material ist nicht für die Verwendung in Frankreich zugelassen. Die Produkte dienen ausschließlich der INFORMATION, sind möglicherweise in bestimmten Ländern nicht zugelassen und dürfen dort unter Umständen nicht vertrieben werden. Bitte klären Sie die Verfügbarkeit mit Ihrem zuständigen Vertriebsrepräsentanten oder dem Kundendienst ab.

Das SpaceOAR Hydrogel dient als vorübergehenden Abstandshalter zwischen Rektum und Prostata. Durch den von SpaceOAR Hydrogel zusätzlich geschaffenen Abstand zwischen Prostata und Rektum wird die an das Rektum abgegebene Strahlendosis reduziert.

Wie bei allen medizinischen Behandlungen bestehen einige Risiken bei der Anwendung von SpaceOAR Hydrogel. Zu den möglichen Komplikationen in Zusammenhang mit SpaceOAR Hydrogel gehören unter anderem: Schmerzen während der Injektion von SpaceOAR Hydrogel; Schmerzen oder Unbehagen durch SpaceOAR Hydrogel; Nadelpenetration der Harnblase, Prostata, Rektumwand, Rektum oder Harnröhre; Injektion von SpaceOAR Hydrogel in Harnblase, Prostata, Rektumwand, Rektum oder Harnröhre; lokale Entzündungen; Infektion; Injektion von Luft, Flüssigkeit oder SpaceOAR Hydrogel in ein Blutgefäß; Harnretention; Schädigung der Darmschleimhaut, Geschwüre, Nekrosen (Absterben von Gewebe); Blutungen und; Verstopfung und imperativer Stuhldrang. Bitte sprechen Sie mit Ihrem Arzt über die Risiken und Nutzen in Zusammenhang mit SpaceOAR Hydrogel.

Alle Bilder sind Eigentum von Boston Scientific. Alle Marken sind Eigentum ihrer jeweiligen Inhaber.

Zurück zum Anfang