Recursos sobre Pulmón

Tecnología de crioablación ICE

Descubre

Resumen

La crioablación percutánea (PCA) es una herramienta para tratar tumores pulmonares primarios y metastásicos. Por lo general, los pacientes son candidatos no quirúrgicos con cáncer de pulmón no microcítico primario o cáncer pulmonar oligometastásico. La crioablación pulmonar preserva la función pulmonar, ofrece repetibilidad para futuras metástasis y puede tratar múltiples tumores pulmonares durante un solo tratamiento. A diferencia de otros tratamientos ablativos, la crioablación proporciona un excelente control local del tumor. Los pacientes suelen tener una estancia hospitalaria corta y reportan una baja incidencia de dolor pre-procedimiento y post-procedimiento.
 

El estudio ECLIPSE

Eficacia de la Crioablación en Tumores Pulmonares Metastásicos con un Seguimiento de 5 Años

Objetivo del estudio 

  • El objetivo principal fue evaluar el control local a 5 años de la crioablación (CA) en tumores pulmonares de 3.5 cm o menos en pacientes con enfermedad metastásica pulmonar. 
  • Los objetivos secundarios fueron evaluar la supervivencia específica del cáncer y la supervivencia general, así como evaluar los cambios en la calidad de vida (QoL) durante un período de cinco años.

Resultados clave

Tasas de Control Local del Tumor

Libertad de progresión local

Pacientes libres de progresión local sin tratamiento locorregional adicional en la lesión índice.

call-out for chart showing 78.2% freedom of local progression at 5 years.

(95% CI = 91.4, 98.4; number at risk [N} = 37)

(95% CI = 84.3, 94.4; N = 30)

(95% CI = 84.3, 94.4; N = 23)

(95% CI = 84.3, 94.4; N = 21)

(95% CI = 66.8, 89.5; N = 7)

Conclusión del estudio ECLIPSE 

La crioablación es un medio eficaz de control local del tumor en pacientes con enfermedad pulmonar metastásica, con la mayoría de los pacientes sobrevivientes manteniendo el control local del tumor en el sitio del tumor índice durante 5 años. Además, la supervivencia específica del cáncer y la supervivencia general fueron mayores después de 5 años en comparación con muchas otras modalidades de tratamiento local, incluida la resección quirúrgica.

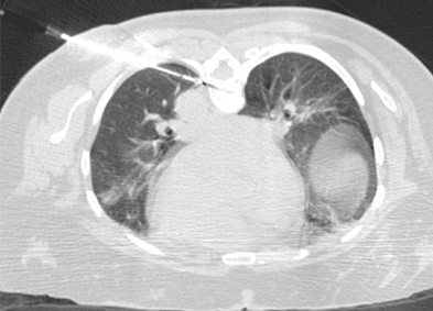
Caso de estudio

Crioablación de mCRC en el pulmón ubicado junto a la aorta 

Una mujer de 57 años con antecedentes de metástasis pulmonares de cáncer colorrectal presentó una nueva metástasis pulmonar de 1 cm identificada en el lóbulo inferior izquierdo. Se realizó la crioablación con una aguja IceSphere™ 1.5 y se inyectó CO2 en el espacio pleural para mover la metástasis lejos de la aorta y prevenir posibles daños a la aorta, así como evitar el efecto de disipación de calor que reduciría las posibilidades de ablación completa. La característica única de "modo de adherencia" ofrecida por la crioablación permite mover el tumor lejos de órganos adyacentes vulnerables, y en consecuencia, tratar tumores pulmonares técnicamente desafiantes de manera segura y efectiva.

Thierry de Baere, MD I Instituto de Cáncer Gustave Roussy I Villejuif, Francia

 

Recursos

Parte superior