Recursos de Riñón

Tecnología de Crioablación ICE

Descubre

Resumen

La crioablación percutánea (PCA) para el carcinoma de células renales (CCR) ha crecido rápidamente en la última década. Esto se debe en gran parte a un creciente cuerpo de evidencia que demuestra resultados comparables con la nefrectomía parcial, pero con menos complicaciones y una mayor preservación de la función renal. De manera similar, la crioablación tiene una ventaja sobre las modalidades de ablación basadas en calor, permitiendo la visualización de la zona de ablación y la preservación de estructuras críticas, incluso en lesiones centrales.
 

Comparación de resultados

¿Cómo se comparan la crioablación y la ablación con la nefrectomía parcial en los resultados clave?
Métrica¿Cómo se compara la crio/ablación con la nefrectomía parcial (NP)?Limitaciones
Supervivencia libre de recurrencia local*Se necesita datos de nivel 1Datos antiguos, los meta-análisis incluyen RF
Supervivencia libre de metástasis*Ablación = NP 
Supervivencia específica del cáncer*Ablación = NP 
Supervivencia general*Se necesita datos de nivel 1Sesgo de selección - los pacientes de ablación tienden a ser mayores con más comorbilidades
Función renalCrio/ablación > NP 
SeguridadCrio/ablación > NP 
CostoCrio/ablación > NP 
Calidad de vidaCrio/ablación > NP 

*Resultados oncológicos

Similar = | Mejor >

Casos de estudio

 

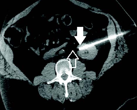
Estructuras adyacentes y CCR

Un hombre de 66 años presentó un CCR endofítico de 2.0 cm x 2.1 cm en el lado izquierdo, y la biopsia confirmó carcinoma de células renales claras. Las imágenes CR iniciales el día del procedimiento demostraron la lesión y el colon adyacente, que probablemente se lesionaría si no se moviera. Se realizó crioablación con tres agujas IceRod™ 1.5 CX para el tratamiento y se utilizó una aguja yueh para introducir solución salina normal y realizar hidrodisección del colon adyacente. El paciente no tuvo dolor ni quejas significativas; fue dado de alta y regresó al trabajo el mismo día del procedimiento. Continúa sin evidencia de enfermedad residual/recurrencia un año después.

Shamar Young, MD | Universidad de Minnesota | Minneapolis, MN

 

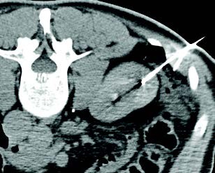
Usando la trayectoria de la aguja para proteger estructuras críticas 

Un hombre de 53 años presentó un CCR endofítico de 2.5 cm x 2.3 cm en el aspecto anterior del polo inferior del riñón izquierdo. Se realizó crioablación con una aguja IceForce™ 2.1 CX. La punta de la aguja se apuntó hacia el uréter ya que el hielo letal solo se extiende 5 mm más allá de la punta de la aguja. El paciente fue dado de alta el mismo día y las imágenes de seguimiento demostraron que no había enfermedad residual o recurrente 12 meses después de la ablación.

AJ Gunn, MD | Universidad de Alabama en Birmingham | Birmingham, AL

 

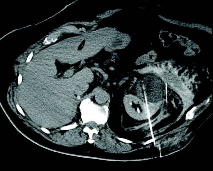
Crioablación de tumor renal de 7 cm después de nefrectomía contralateral previa

Un hombre de 78 años presentó un CCR multifocal en el riñón derecho con invasión venosa y un CCR convencional de células claras de 7 cm en el lado izquierdo. El tumor derecho fue tratado con nefrectomía y el tumor izquierdo fue tratado con crioablación 3 meses después de la nefrectomía. Se utilizó hidrodisección para proteger las estructuras adyacentes y se usaron 7 agujas IceRod™ 1.5 PLUS para el tratamiento. No se reportaron eventos adversos y las imágenes de seguimiento temprano del riñón izquierdo confirmaron una ablación adecuada.Alex King, MD | Hospital Universitario de Southampton | Southampton, Reino Unido

 

 

  

Recursos

Parte superior