Skip to main content

Mi cuenta

Las cuentas de Boston Scientific son solo para profesionales de la salud.

Cree una cuenta para acceder a capacitación y educación en línea sobre EDUCARE, administrar su perfil de cliente y conectarse con equipos de servicio y atención al cliente.

Mi cuenta de Boston Scientific

Accede a tus solicitudes online y gestiona tu perfil de cliente.

Enlaces rápidos

Contactar con un representante Educación y formación en línea

Rotablator™

Sistema de aterectomía rotacional

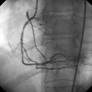
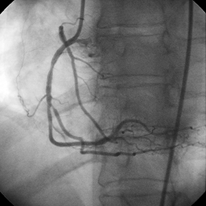
Resultado no óptimo sin rotablator

Antecedentes del paciente

  • Mujer de 53 años
  • Fumadora
  • Antecedentes familiares de arteriopatía coronaria (AC)
  • Infarto agudo de miocardio (IM) inferior previo tratado con t-PA, después de su estabilización, se trasladó a la paciente para realizarle un cateterismo cardíaco y una posible intervención.

Diagnóstico 

  • La angiografía inicial no mostró una enfermedad significativa del sistema coronario izquierdo.
  • La arteria coronaria derecha (RCA) presentaba un alto grado de estenosis con un segmento proximal prolongado de enfermedad.
  • La función ventricular izquierdo era normal.

Procedimiento 

  • No se advirtió una calcificación significativa en el momento de la intervención (especialmente en la región del estrechamiento más crítico).
  • Se implantó un stent de 2,75 mm × 23 mm.
  • La angiografía demostró un implante no óptimo del stent debido a calcio no observado en la parte proximal de la lesión.

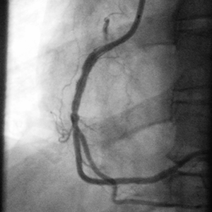
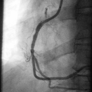
Posdilatación

  • Se usaron balones de alta presión de 3,5 mm y 4 mm para postdilatar el stent.
  • Los balones de alta presión no tuvieron éxito en la optimización de la expansión del stent.

Comentario del médico 

"Esta RCA altamente estenosada contenía un grado significativo de calcio que no podría apreciarse plenamente en el momento de la angiografía. Cabe destacar que el segmento calcificado no se encontraba en la región de estrechamiento más crítico. Sin embargo, la lesión calcificada no se pudo dilatar después de la aplicación del stent.

Si la dilatación previa del vaso se hubiese realizado antes de la aplicación del stent, la necesidad de usar el sistema Rotablator™ habría sido obvia, y posiblemente se habría evitado la dificultad que se encontró al tratar este vaso."

Parte superior