Skip to main content

Mi cuenta

Las cuentas de Boston Scientific son solo para profesionales de la salud.

Cree una cuenta para acceder a capacitación y educación en línea sobre EDUCARE, administrar su perfil de cliente y conectarse con equipos de servicio y atención al cliente.

Mi cuenta de Boston Scientific

Accede a tus solicitudes online y gestiona tu perfil de cliente.

Enlaces rápidos

Contactar con un representante Educación y formación en línea

Rotablator™

Sistema de aterectomía rotacional

Rotablator en lesiones calcificadas

Estudio de caso del Dr. Price

Antecedentes del paciente

  • Hombre de 58 años
  • Antecedentes de arteriopatía coronaria, diabetes, hipertensión, apnea obstructiva del sueño y arteriopatía periférica.
  • Antecedente de ICP en DAI y circunfleja izquierda.
  • Se presentó a consulta con molestias en el pecho en la línea medio esteral a la zona izquierda, no radiante, con duración de varios minutos, producidas por esfuerzos físicos y que se alivia con reposo.

Diagnóstico

  • El ECG mostró bradicardia sinusal con antiguo infarto inferior.
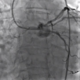
  • El angiograma coronario izquierdo mostró ostium separado de las arterias DAI y circunflejas izquierdas.
  • La arteria circunfleja izquierda presentaba flujo de TIMI-2. Existía una estenosis subtotal y de elevado grado en la parte proximal.
  • Con cierta dificultad, se usó un catéter guía de 6F de soporte adicional para realizar la canulación de la arteria circunfleja izquierda.

Procedmiento

  • Una cuerda guía tipo workhorse se avanzó con éxito a través de la lesión.
  • Se intentó la predilatación con un balón RX semi-complaciente de 2.0 x 12 mm, sin éxito porque no pudo atravesar la lesión.
  • La predilatación fue exitosa con un globo Apex ™ Push de 1.5 x 12 mm; el angiograma posterior demostró la restauración del flujo TIMI-3.
  • Luego se realizó una predilatación adicional con un balón NC Quantum Apex ™ MR de 2,5 x 12 mm a alta presión.
  • La ecografía intravascular mostró un vaso muy estrecho con placa fibrocálcica considerable. A causa de estos hallazgos, se tomó la decisión de proceder con el Rotablator.
  • La cuerda guía original se cambió utilizando un balón OTW por una cuerda guía RotaWire ™
  • Se avanzó una oliva de 1,5 mm y se realizó una aterectomía rotacional.
  • Una angiografía posterior mostró flujo TIMI-3 sin disecciones, pero aún con una estenosis residual significativa.
  • Dada la necesidad de una aterectomía rotacional adicional con una oliva más grande, se tomó la decisión de realizar un cambio de catéter guía por uno de 8F.
  • La cuerda guía RotaWire ™ se intercambió por una cuerda guía extra soporte de 300 cm a través de un sistema OTW.
  • El catéter guía de 6 F y el introductor se retiraron sobre la misma cuerda guía.
  • Un catéter guía de 8 F y el introductor se volvieron a avanzar sobre la cuerda guía.
  • La cuerda guía extra soporte se intercambió por la cuerda RotaWire™ Extra Soporte para optimizar la aterectomía dentro de la placa.
  • Posteriormente se hizo aterectomía con una oliva de 2,0 mm.
  • Se evaluó la lesión y se predilató a presión alta con un balón NC Quantum Apex de 3,25 x 15 mm.
  • Se colocó un stent liberador de fármaco (DES) de 3,5 x 16 mm con excelente expansión mediante fluoroscopía.
  • Una ecografía intravascular mostró una subexpansión en la parte proximal del stent.
  • Posteriormente se realizó una dilatación a alta presión con un balón NC Quantum Apex de 3,75 x 12 mm.
  • La angiografía final demostró flujo TIMI-3, sin disecciones y sin estenosis residual en el sistema circunflejo izquierdo.

Resultado*

  • La aterectomía rotacional realizó modificación sustancial de la placa que permitió la predilatación exitosa del balón y el implante adecuado del stent.

Comentario del Medico

"Creo que este caso demuestra que es importante tener aterectomía rotacional en su kit de herramientas para los casos en los que no se obtiene la predilatación adecuada o la implantación del stent. En este caso en particular, la placa fibrocálcica era muy agresiva y muy resistente a la dilatación incluso a altas presiones con un balón no complaciente. Logramos realizar una aterectomía rotacional, que es una buena alternativa en este tipo de situación.".

Parte superior