Skip to main content

Mi cuenta

Las cuentas de Boston Scientific son solo para profesionales de la salud.

Cree una cuenta para acceder a capacitación y educación en línea sobre EDUCARE, administrar su perfil de cliente y conectarse con equipos de servicio y atención al cliente.

Mi cuenta de Boston Scientific

Accede a tus solicitudes online y gestiona tu perfil de cliente.

Enlaces rápidos

Contactar con un representante Educación y formación en línea

Rotablator™

Sistema de aterectomía rotacional

RotablatorTM que facilita el implante del stent

Antecedentes del paciente

  • Mujer de 60 años
  • Angina significativa al realizar mínimo ejercicio
  • Hipertensión, hiperlipidemia
  • Arteriopatía coronaria
  • Angioplastía coronaria transluminal percutánea (ACTP) previa del tronco coronario izquierdo en 1998 y 2002.

Diagnóstico 

  • La angiografía inicial mostró una arteria coronaria derecha pequeña no dominante 
  • La DA presentaba una enfermedad leve.
  • La arteria circunfleja mostraba 90% de estenosis.
  • La función ventricular izquierda era normal.

Procedimiento 

Tratamiento de la circunfleja

  • Se colocó un catéter guía adecuado para facilitar el posible uso de varios dispositivos intervencionistas.
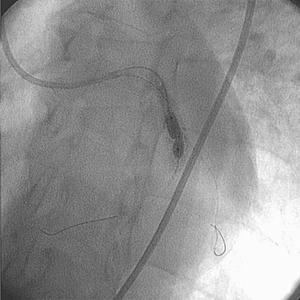
  • Se usó una cuerda guía para cruzar la lesión en la arteria circunfleja.
  • Se intentó sin éxito la dilatación de la lesión con un balón de 4,0 mm × 20 mm.
  • Se intentó sin éxito la dilatación de la lesión con balón de 4,0 mm × 15 mm a 14 ATM.
  • Tampoco se obtuvo éxito en expandir la lesión con un balón de 4,0 mm × 20 mm a 14 ATM.
  • Se utilizó balón de corte Flextome™ de 4,0 mm × 10 mm, sin éxito.

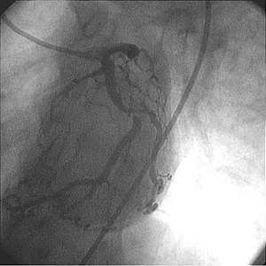
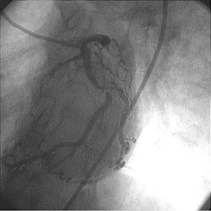
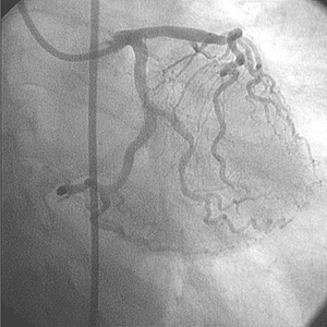
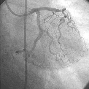
Sistema post ROTABLATOR

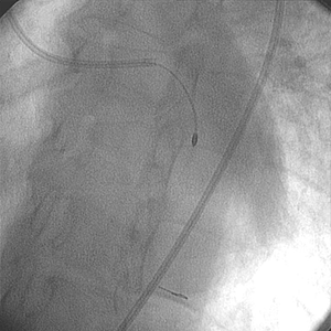
El equipo médico decidió usar el sistema Rotablator. Se atravesó la lesión con una oliva de 1,75 mm sin dificultad sobre la cuerda guía RotaWire™ Floppy.

  • Luego de usar el sistema Rotablator™, se dilató la lesión con un balón para ACTP de 4,0 mm x 20 mm.
  • El uso del sistema Rotablator™ facilitó el implante y la expansión adecuada de un stent de 4,0 mm × 9,0 mm con buen aspecto angiográfico.

Comentario del médico 

El sistema Rotablator™ modificó la resistencia de la lesión y posteriormente facilitó el implante y la correcta expansión del stent mostrando con claridad su aplicación. 

La evaluación angiográfica no reveló la presencia de calcio en la lesión.

Después de varios intentos por dilatar la lesión con balones, el nivel y la magnitud de la calcificación fue evidente. Si bien la oliva de 1,75 mm no aumentó el tamaño de la luz, sí permitió la posterior expansión de la lesión por medio de un balón y un stent para ACTP.

Parte superior